Open Access, Volume 8

Early degenerative changes in shoulder joint on
T2 relaxometry (Cartigram)

Rajitha D1 *; Elangovan S2 ; Rajadurai M3 ; Sathyanath A1

1Department of Allied Health Sciences, Faculty of Life and Allied Health Sciences, Ramaiah University of Applied Sciences, Bengaluru, Karnataka, India.
2Department of Radiology and Imaging Sciences, Sri Ramachandra Institute of Higher Education and Research, Porur, Chennai-600116, Tamil Nadu, India.
3Department of Food technology, Faculty of Life and Allied Health Sciences, Ramaiah University of Applied Sciences, Bengaluru, Karnataka, India

Rajitha D

Department of Allied Health Sciences, Faculty of Life and Allied Health Sciences, Ramaiah University of Applied Sciences, New BEL Road, MSR Nagar, Bengaluru-560054, Karnataka, India.
Tel: +91-709-597-2247;
Email: rajitha.ah.ls@msruas.ac.in

Received : August 05, 2022, Accepted : September 07, 2022
Published : September 09, 2022, Archived : www.jclinmedcasereports.com

Copy right Statement: Content published in the journal follows Creative Commons Attribution License (http://creativecommons.org/licenses/by/4.0). © Rajitha D (2022)

Journal: Open Journal of Clinical and Medical Case Reports is an international, open access, peer reviewed Journal mainly focused exclusively on the medical and clinical case reports.

Citation: Rajitha D, Elangovan S, Rajadurai M, Sathyanath A. Early degenerative changes in shoulder joint on T2 relaxometry (Cartigram). Open J Clin Med Case Rep. 2022; 1903.
Description

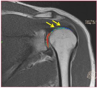
A 29-year-old man presented with a one-year history of left shoulder pain, which increased with range of motion and further aggravated on gym training. The patient underwent Magnetic Resonance Imaging (MRI) of the shoulder, which revealed significant hypertrophy of the coracohumeral and superior glenohumeral ligaments on normal grey scale images (Figure 1). We performed cartigram (T2 relaxometry) and the necessary post-processing techniques such as colour mapping (Figure 2a) and T2 values (Figure 2b) on coronal plane (where maximum glenohumeral cartilage can be seen) with a 1.5 Tesla MRI machine (SIEMENS MAGNETOM Avanto, Siemens Medical Solutions USA, Inc., PA, USA).

We obtained the higher T2 value in the post-processing image of T2 relaxometry sequence (Figure 2b) at the superior glenohumeral cartilage and were co-related with Figure 2. We used the rainbow scale (Figure 3a & b) in colour map post-processing techniques, where blue indicates higher T2 values and red indicates lower T2 values according to the references [2,3]. The standard T2 relaxometry value of the cartilage is 32.1-35 ms and that in mild and severe osteoarthritic changes of the cartilage is 34.4-41.0 ms and >45 ms, respectively. However, in this case, the T2 values were 45-60 ms (>45 ms) which correlates with the colour maps. Hence, there is an early degeneration of the cartilage (early osteoarthritis) which was difficult to discern in standard greyscale images

By diagnosing degenerative changes, an irreversible process [4], at very early stages in younger patients, further cartilage degradation can be prevented by timely management, which increases the patient’s healthy life expectancy [5].

Figure 1: : Proton density images -coronal plane.

Figure 2A: : Color mapping (Glenohumeral cartilage -coronal plane).
Figure 2b: T2 values at the glenohumeral cartilage (45-60ms-inferior to superior in coronal plane).

Figure 3a: Color mapping of the glenohumeral cartilage.

Figure 3b: Colour scale [1]-Blue -higher T2 values (More relaxation time), Green to Orange -medium T2 values (Medium relaxation), Red -short T2 values (short relaxation times).
References
  1. Mosher TJ, Dardzinski BJ, Smith MB. Human articular cartilage: Influence of aging and early symptomatic degeneration on the spatial variation of T2 - Preliminary findings at 3 T. Radiology. 2000; 214: 259-266.
  2. Maizlin Z V, Clement JJ, Patola WB, Fenton DM, Gillies JH, et al. T2 mapping of articular cartilage of glenohumeral joint with routine MRI correlation-initial experience. HSS J. 2009; 5: 61-66.
  3. Apprich S, Welsch GH, Mamisch TC, Szomolanyi P, Mayerhoefer M, et al. Detection of degenerative cartilage disease: Comparison of high-resolution morphological MR and quantitative T2 mapping at 3.0 Tesla. Osteoarthritis Cartilage. 2010; 18: 1211- 1217.
  4. White LM, Sussman MS, Hurtig M, Probyn L, Tomlinson G, Kandel R. Cartilage T2 assessment: Differentiation of normal hyaline cartilage and reparative tissue after arthroscopic cartilage repair in equine subjects. Radiology. 2006; 241: 407-414.
  5. Liess C, Lüsse S, Karger N, Heller M, Glüer CG. Detection of changes in cartilage water content using MRI T2-mapping in vivo. Osteoarthritis Cartilage. 2002; 10: 907-913.
+