Open Access, Volume 8

Ibrutinib and venetoclax as a bridge to allogeneic hematopoietic stem cell transplantation in the first line of therapy in a patient with chronic lymphocytic leukemia

Zvonkov EE1; Gabeeva NG1; Koroleva DA1*; Tatarnikova SA1; Gubkin AV2; Koroleva OM1; Vasilyeva VA1; Biderman BV1; Sudarikov AB1; Obukhova TN1; Galtseva IV1; Kuzmina LA1; Parovichnikova EN1

1National Medical Research Center for Hematology, Moscow, Russian Federation.
2Central Clinical Hospital №2 after named N.A. Semashko, Moscow, Russian Federation.

Koroleva DA

National Medical Research Center for Hematology, Moscow, Russian Federation.
Email: koroleva_12-12@mail.ru

Received : August 24, 2022, Accepted : September 12, 2022
Published : September 20, 2022, Archived : www.jclinmedcasereports.com

We report a case of a patient with chronic lymphocytic leukemia from a high-risk group with a mutation in the TP53 gene. As an induction, the patient underwent bitarget therapy with ibrutinib and venetoclax. For the first time, the patient underwent transplantation of allogeneic hematopoietic stem cells in the first line of therapy. The patient achieved complete MRD-negative remission. With a follow-up period of + 26 months after allo-HSCT, the patient retains 100% donor chimerism without signs of GVHD and complete MRD-negative remission.

Keywords: Chronic lymphocytic leukemia; Ibrutinib; Venetoclax; allo-HSCT.

Copy right Statement: Content published in the journal follows Creative Commons Attribution License (http://creativecommons.org/licenses/by/4.0). © Koroleva DA (2022)

Journal: Open Journal of Clinical and Medical Case Reports is an international, open access, peer reviewed Journal mainly focused exclusively on the medical and clinical case reports.

Citation: Zvonkov EE, Gabeeva NG, Koroleva DA, Tatarnikova SA, Gubkin AV, Koroleva OM, Vasilyeva VA, et al. Ibrutinib and venetoclax as a bridge to allogeneic hematopoietic stem cell transplantation in the first line of therapy in a patient with chronic lymphocytic leukemia. Open J Clin Med Case Rep. 2022; 1905.

Chronic lymphocytic leukemia (CLL) is the most commonB-cell lymphoproliferative disease. The clinical course of CLL is characterized by heterogeneity, ranging from asymptomatic to aggressive [1]. Some patients surviving for more than 10 years without treatment, whereas others suffer rapid disease progression in spite of intensive treatment regimens [2]. An unfavorable course can be predicted by a variety of parameters, such as the unmutated immunoglobulin variable heavy-chain (IGHV) mutational status, presence of deletions in the long arm of chromosome 11 (del (11q)) and in the short arm of chromosome 17 (del (17p)), TP53 gene mutations and complex karyotype (CK) [1,3,4].

To date, the main goal of CLL therapy is achieving a complete response (CR) with negative minimal residual disease (MRD) [5]. Patients carrying TP53 gene aberrations respond poorly to standard chemoimmunotherapy (CIT) and should,therefore, be treated with targeted agents [6].

Allogeneic hematopoietic stem cell transplantation (allo-HSCT) is the only approach to achieve a cure and long-term disease control for in these unfavorable group patients. Modern guidelines recommendallo-HSCT during first remission for patients with CLL and TP53 aberration [7].

Aim: To demonstrate own experience of using ibrutinib in combination with venetoclax followed by alloHSCT in first-line therapy in patient withhigh-risk CLL with TP53 gene mutatio

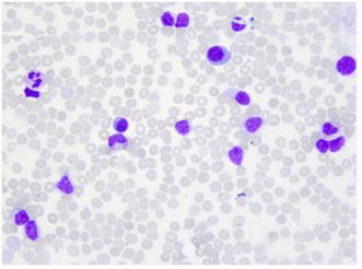
In August 2019, a 56-year old man was presented to our center with multiple peripheral and intra abdominal lymphadenopathies, hepatosplenomegaly in the presence of B symptoms. On admission, his complete blood count showed a white blood cell (WBC) count of 69,9 х 109 /L with 55% mature-looking lymphocytes, hemoglobin (Hb) 80 g/L and platelet count 45 х 109 /L (Figure 1). Flow cytometry analysis of the peripheral blood showed expression of CD45, CD19, CD5, CD23 and CD22 low (Figure 2). Conventional cytogenetic tests and fluorescence in situ hybridization (FISH) revealed complex karyotype, 73% of analyzed cells displayed deletion of 17p13 (Figure 3) and 41% of analyzed cells displayed deletion of 13q14. NGS assay for detection of TP53mut identified pathogenic mutation in position 273 in exon 8 with variant allele frequency (VAF) 50% (Figure 4). Mutation status of the heavy chain variable region genes corresponded to the unmutated variant of the disease. The patient was diagnosed as high risk CLL - Rai stage IV, Binet stage C.

rom August to September 2019, the patient was treated with ibrutinib and venetoclax, which resulted in a decrease in the size of the spleen and lymph nodes, a decrease in leukocytes to 8 x 109 /l, an increase in hemoglobin to 119 g/l and platelets to 190 x 109 /l. Between October 2019 and February 2020 the patient refused therapy on his own. In February 2020, due to the progression of CLL, the patient resumed therapy with ibrutinib at a dose of 420 mg/day and venetoclax at a dose of 100 mg/day. Partial remission of the disease was achieved.

After a conditioning regime with fludarabine (30 mg/m2 /day) on days -7 to -2, on and busulfan (4 mg/kg/day) on days -3 and -2, in june 2020 the patient underwent allo-HSCT from an HLA-matched unrelated male donor. He received a total of 6 × 106 CD34+ cells/kg body weight. Immunosuppression consisted of posttransplantation cyclophosphamide on d +3 and d +4, cyclosporine A 3 mg/kg/day and mycopheno late mofetil (MMF) from d+5. The neutrophil engraftment time was day +18 and platelet engraftment time was day +23 after allo-HSCT. On admission after one month allo-HSCT, it was possible to achieve complete donor chimerism and MRD-negative remission (Figure 5).

A acute graft vs. host disease (GvHD) of the skin (stage I) according to MAGIC occurred on months +2, resolved after therapy with corticosteroids and increase the dose of cyclosporine A. The immunosuppression was discontinued 199 days after allo-HSCT. Patient are alive and in MRD-negativity remission and complete donor chimerism 26 months after allo-HSCT.

Figure 1: Cytological examination of a peripheral blood smear of the onset (lymphocytes 55,5%), magnification x 500, MaiGrunwald staining.

Figure 2: Flow cytometry analysis of the peripheral blood of the onset.

Figure 3: Deletion of 17p13 in 50% of nuclei by fluorescence in situ hybridization (FISH)

Figure 4: Pathogenic mutation in position 273 in exon 8 gene TP53 with variant allele frequency (VAF) 50% by NGS assay.

Figure 5: Flow cytometry analysis of the peripheral blood after alloHSCT.

TP53 aberrations is one of the major causes of resistance to chemo-immunotherapy in patients with high-risk group CLL. Deletion of chromosome 17p13 and TP53 mutation is associated with a short time to progression and remain the most important risk factors for progression-free survival (PFS) and overall survival (OS) for patients with CLL [4,6,8,9]. The frequency of deletions/mutations of the TP53 genein patients with high-risk CLLis up to 40-50%. Approximately 80% of patients harboring del (17p) also carry a mutation of the TP53 gene and 20% of patients without del(17p) can still carry TP53 mutations [4]. Median OS of CLL patients harboring TP53 mutations compared with those without 23.3 versus 62.2 months respectively [2]. Patients with a TP53 gene aberration are usually resistant to CITand no standard treatment exists. Responses to front-line standard CIT are short lived. The treatment of patients with CLL with del(17p)/TP53 mutation is a major challenge [2]. The advent of non-cytotoxic agents, such as the inhibitors BTK and anti-BCL2 proteins is changing the treatment landscape in CLL, including its high-risk forms [10-12].

However, in most cases, the use of targeted therapy in patients with CLL is considered only in recurrent/refractory (R/R) cases [13]. MZH Farooqui et al. presented the results, according to which in a phase 1b–2 study of ibrutinib monotherapy, the overall response rate (ORR) was 89% among those with R/R CLL [12]. In a phase 1 study of venetoclax monotherapy involving patients with R/R CLL, the ORR of 79% was noted, with a 20% rate of CR [14]. Ahn et al. reported an observation of 34 patients with high-risk CLL withTP53 aberration and were treated with ibrutinib as first-line therapy. At 6 years of treatment with PFS and OS was61% and 79% respectively [15]. The data indicate that BTK inhibitor monotherapy holds the potential to control high-risk, however, of the 12 patients had disease progression.

When evaluating the effectiveness of ibrutinib in previously untreated and R/R CLL patients with TP53 aberrations was achieved an only partial response.

Combinations of targeted agents, primarily the BTK and BCL2 inhibitors, are now being investigated to create efficient and potentially curative therapies of CLL. Overall responses were seen across all high-risk subgroups such as patients with del(17p), del(11q), unmutated IGHV, or mutated TP53, however, albeit results are inferior to those with no adverse genetics [11].

Allogeneic hematopoietic stem transplantation remains the only potentially effective method of curing patients with CLL. However, the accumulated experience of allo-HSCT in patients with CLL is insufficient for conclusions. In addition, the median age of CLL patients and concomitant comorbidity also limit the applicability of this approach [7].

Early studies investigating the role of allo-HSCT in the treatment of patients with CLL demonstrated an increase in mortality rates due to the high toxicity of myeloablative conditioning regimens. According to the IBMTR/EBMT, treatment-related mortality in CLL patients following myeloablative-conditioning regimens was 46%. At the same time, with a 10-year follow-up period, relapse-free and OS was 36.6% and 41.2%, respectively, which demonstrates the possibility of achieving long-term results and, most likely, curing patients with CLL [16].

Reduced-intensity-conditioning allo-HSCT sustained 5-y PFS and OS 40% and 60% respectively, equivalent to the cure of the disease, even in cases with adverse factors [16].

In 2003, according to EBMT data, it was shown that the introduction of transplantation of allogeneic hematopoietic stem cells using low-intensity conditioning modes allows achieving 4-year relapse-free survival in 50% of patients with chronic lymphocytic leukemia, which is primarily due to a significant decrease in the toxic effect associated with transplantation and the proven graft versus leukemia effect [17].

Similar results have been demonstrated in a number of other studies, with the potential to achieve 5-year OS rates of 40% to 70% with significant reductions in treatment-related mortality [17].

Dreger et al. published the results of a study of the performance of allo-HSCT in a mode of reduced intensity in high-risk CLL patients, including those with a 17p13 deletion. With an average follow-up of 43 (18-75) months, 54% of CLL patients with a 17p13 deletion remained in complete remission of the disease [7].

According to CIBMTR, in patients with CLL after allo-HSCT the 3-year OS rate was 84%. Despite the fact that the mortality rate after allo-HSCT in CLL is 25-50%, nevertheless, in 40-60% of patients, the overall survival rate reaches a plateau within 3 years, which indicates a complete cure [13,17].

In conclusion, we found that combined therapies like ibrutinib and venetoclax in the first line have revolutionized the treatment for high-risk patients CLL with TP53 gene mutation. However, allo-HCT remains the only curative option for these patients.

  1. Chatzikonstantinou T, Demosthenous C, Baliakas P. Biology and Treatment of High-Risk CLL: Significance of Complex Karyotype. Front Oncol. 2021; 1-6.
  2. van der Straten L, Hengeveld PJ, Kater AP, Langerak AW, Levin MD, et al. Treatment Approaches to Chronic Lymphocytic Leukemia with High-Risk Molecular Features. Front Oncol. 2021; 11: 1-23.
  3. Rotbain EC, Frederiksen H, Hjalgrim H, Rostgaard K, Egholm GJ, et al. IGHV mutational status and outcome for patients with chronic lymphocytic leukemia upon treatment: A danish nationwide population-based study. Haematologica. 2020; 105: 1621- 1629.
  4. Al-Sawaf O, Fischer K. TP53 mutations in CLL: does frequency matter? Blood. 2021; 138: 2600–2601.
  5. Moreno C, Mora A. MRD in CLL: some answers, many questions. Blood. 2021; 138: 2746-2747.
  6. Pospisilova S, Sutton LA, Malcikova J, Tausch E, Rossi D, et al. Innovation in the prognostication of chronic lymphocytic leukemia: How far beyond TP53 gene analysis can we go? Haematologica. 2016; 101: 263-265.
  7. Dreger P, Döhner H, Ritgen M, Böttcher S, Busch R, et al. Allogeneic stem cell transplantation provides durable disease control in poor-risk chronic lymphocytic leukemia: Long-term clinical and MRD results of the German CLL Study Group CLL3X trial. Blood. 2010; 116: 2438-2447.
  8. Morabito F, Gentile M, Monti P, Recchia AG, Menichini P, et al. TP53 dysfunction in chronic lymphocytic leukemia: clinical relevance in the era of B-cell receptors and BCL-2 inhibitors. Expert Opin Investig Drugs. 2020; 29: 869-880.
  9. Morabito F, Del Poeta G, Mauro FR, Reda G, Sportoletti P, et al. TP53 disruption as a risk factor in the era of targeted therapies: A multicenter retrospective study of 525 chronic lymphocytic leukemia cases. Am J Hematol. 2021; 96: E306-10.
  10. Vincent L, Delmer A, Cymbalista F. Frontline treat ment in CLL: the case for time - limited treatment. Hematology Am Soc Hematol Educ Program. 2021; 2021: 59-67.
  11. Jain N, Keating M, Thompson P, Ferrajoli A, Burger J, et al. Ibrutinib and Venetoclax for First-Line Treatment of CLL. N Engl J Med. 2019; 380: 2095-2103.
  12. Mohammed Z H Farooqui, Janet Valdez, Martyr S, Aue G, Saba N, et al. Ibrutinib for previously untreated and relapsed or refractory chronic lymphocytic leukaemia with TP53 aberrations: a phase 2, single-arm trial. Mol Cell Biochem. 2012; 23: 1-7.
  13. Dolan S, Christofides A, Doucette S, Shafey M. Highlights from ASCO 2020: Updates on the treatment of chronic lymphocytic leukemia. Curr Oncol. 2020; 27: e420-32.
  14. Davids MS, Hallek M, Wierda W, Roberts AW, Stilgenbauer S, et al. Comprehensive safety analysis of Venetoclax monotherapy for patients with relapsed/refractory chronic lymphocytic leukemia. Clin Cancer Res. 2018; 24: 4371-4379.
  15. Ahn IE, Brown JR. Targeting Bruton’s Tyrosine Kinase in CLL. Front Immunol. 2021; 12.
  16. Kharfan-Dabaja MA, Anasetti C, Santos ES. Hematopoietic Cell Transplantation for Chronic Lymphocytic Leukemia: An Evolving Concept. Biol Blood Marrow Transplant. 2007; 13: 373-385.
  17. Zahid MF, Ali N. Reduced-intensity conditioning allogeneic hematopoietic stem cell transplantation for chronic lymphocytic leukemia. Med Oncol. 2015; 32: 1-4.
+