Open Access, Volume 8

Severe herpes simplex virus 1 pneumonia in a patient with
diabetic ketoacidosis: A case report

Upul Pathirana*; Anupa Herath; Dineka Gunaratne; Ramjan Sanas Mohomed

District General Hospital, Trincomalee, Sri Lanka.

Upul Pathirana

Consultant Respiratory Physician, District General Hospital, Trincomalee, Sri Lanka.
Tel: +94716858158;
Email: mailtoupul@gmail.com

Received : August 11, 2022, Accepted : September 16, 2022
Published : September 20, 2022, Archived : www.jclinmedcasereports.com

Background: Severe pneumonia in intensive care units carries a high mortality. Herpes Simplex Virus 1 pneumonia is an extremely rare and there were no reported cases from Sri Lanka. Here we report a 53-year old lady who presented with diabetic ketoacidosis and severe Herpes Simplex Virus 1 pneumonia.

Case presentation: A 53-year-old Sri Lankan female known to have diabetes mellitus presented with pyrexia, productive cough and breathlessness for 3 days duration. She was in type 1 respiratory failure and transferred to the intensive care unit. Additionally, Herpes labialis was noted during physical examination. Her blood sugar on admission was 566 mg/dl and ketone bodies were detected in the urine. Metabolic acidosis in the arterial blood gas confirmed the diagnosis of diabetic ketoacidosis. The chest radiograph noted bilateral extensive patchy consolidations. The routine blood and sputum culture were sterile. She did not improve despite the treatment with broad spectrum antibiotics and normalization of diabetic ketoacidosis. Her conscious level also remained low giving rise to Glasgow Coma Scale of 5. Bronchoscopic evaluation noted scattered whitish plaque like lesions in a background of erythematous bronchial mucosa. Herpes Simplex Virus 1 (HSV 1) pneumonia and encephalitis was suspected, and later confirmed the diagnosis by positive Polymerase Chain Reaction for HSV 1 in blood and lower respiratory sample, and cytopathological evidence in endobronchial biopsy. She made a complete clinical recovery with intravenous acyclovir therapy.

Conclusion: HSV1 pneumonia is described in both immunodeficient and immunocompetent patients. Diabetes mellitus, which is highly prevalent in Sri Lanka, is a well-known risk factor. Therefore, a high degree of clinical suspicion is needed in diabetic patients with pneumonia to offer confirmatory investigations followed by successful treatment with acyclovir. Here we suggest correlation of investigations to avoid over diagnosis too.

Keywords: Herpes Simplex Virus; Diabetes mellitus; Diabetic ketoacidosis; Encephalitis.

Keywords: HSV: Herpes Simplex Virus; GCS: Glasgow Coma Scale; DKA: Diabetic Ketoacidosis; PCR: Polymerase Chain Reaction; CT: Computed Tomography; CMV: Cytomegalovirus; CAP: Community Acquired Pneumonia; VAP: Ventilator Associated Pneumonia; DNA: Deoxyribonucleic acid

Copy right Statement: Content published in the journal follows Creative Commons Attribution License (http://creativecommons.org/licenses/by/4.0). © Pathirana U (2022)

Journal: Open Journal of Clinical and Medical Case Reports is an international, open access, peer reviewed Journal mainly focused exclusively on the medical and clinical case reports.

Citation: Pathirana U, Herath A, Gunaratne D, Mohomed RS. Severe herpes simplex virus 1 pneumonia in a patient with diabetic ketoacidosis: A case report. Open J Clin Med Case Rep. 2022; 1908.

Severe pneumonia with respiratory failure requiring ventilatory support carries a high mortality worldwide [1]. Early administration of antimicrobial agents will make a difference in outcome giving best results [2]. Accurate identification of causative organism plays a pivotal role in antibiotic stewardship in critically ill patients with pneumonia [3]. Common bacterial organisms associated with Community acquired pneumonia could be detected during routine cultures of blood and respiratory samples although the diagnostic yield of microorganisms is substantially low [4]. Viruses are well known to cause pneumonia in children and adults, and there may be co-infection with bacterial organisms. The laboratory confirmation of viral pneumonia is based on virus or viral antigen detection in upper respiratory samples, immunofluorescence microscopy or culture of lower respiratory specimens, or detection of antibodies in paired blood samples [5]. These techniques are available in limited centers in Sri Lanka and specimens need to be transported to the far away laboratories. Therefore, clinicians should be vigilant regarding the timing of specimen collection for difficult to treat pneumonia. This case study suggests how to utilize available resources to establish the diagnosis of pneumonia caused by a rare pathogen which otherwise associated with high mortality without specific treatment.

A 53-year-old Sri Lankan female presented with fever, productive cough with yellow sputum and breathlessness for 3 days duration. She is known to have diabetes mellitus for 6 months duration and was on metformin with good glycaemic control. She had not had her metformin two weeks prior to the admission. She was dehydrated on admission. There was evidence of herpes labials without clinical evidence of gingivostomatitis. The oxygen saturation by pulse oximetry was 92% on air. Her respiratory rate was 35 cycles per minute and there were diffuse fine crepitations bilaterally. The pulse rate was 140 per minute and blood pressure was 123/53 mmHg. Her GCS was 15 on admission.

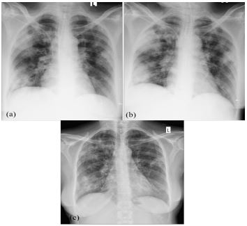
The arterial blood gas noted to have pH 7.154, PaO2 100.1 mmHg (FiO2 40%), PaCO2 35.8 (36-46) mmHg, HCO3 12.7 mmol/L (22-26) and lactate 7.5 mmol/L (0.5-1.6). Her capillary blood sugar was 566 mg/ dl and urinary ketone bodies found to be positive. The C-reactive protein was 290.05 mg/L and complete blood count had total white cell count of 6130 with neutrophil predominance. Her serum Sodium was 125 mmol/l. All other blood tests including liver and renal functions were unremarkable. The chest radiograph revealed extensive patchy consolidations in bilateral lung fields (Figure 1a).

The initial diagnosis of community-acquired pneumonia with respiratory failure was made. Her metabolic acidosis was thought to be a combination of sepsis and Diabetic Ketoacidosis (DKA). The oxygen of FiO2 40% was administered via a facemask. Initial resuscitation with intravenous 0.9% NaCl and insulin was commenced. Empirical antibiotic treatment with Meropenum 1g 8 hourly and clarithromycin 500 mg twice daily were administered immediately after taking sample for sputum and blood culture, nasopharyngeal swab for influenza and Covid-19.

Her condition deteriorated following day despite negative ketone bodies and normalization of sugar and acidosis. The GCS dropped to 5 out of 15. She was intubated and mechanical ventilation started. The blood culture was sterile and viral studies for Influenza and Covid-19 were negative. She remained ventilator dependent, low GCS and continued to have fever spikes despite combination of antibiotics. The bronchoscopy showed bilaterally inflamed bronchial tree without purulent secretions (Figure 2). Bronchial wash was taken for bacterial culture, cytology and Herpes Simplex Virus Polymerase Chain Reaction (PCR) while bronchial biopsy was sent for histology. The antibiotics were changed into Cefoperazone-sulbactam 2 g twice daily and Amikacin 675 mg daily on day 5.

Normal non-contrast Computed Tomography (CT) of the brain excluded intracerebral haemorrhage and cerebral infarction contributing to low GCS. Lumbar puncture and analysis of cerebrospinal fluid were deferred as patient had developed early bedsores. There was progression of chest radiographic abnormalities on repeat imaging (Figure 1b) even though the bronchial wash was sterile. There was no evidence of right side infective endocarditis on transthoracic echocardiogram. Human Immunodeficiency Virus testing was negative.

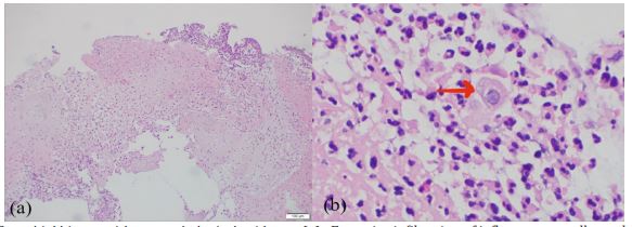
HSV-1 was detected in blood and bronchial wash by PCR while Cytomegalovirus (CMV) PCR was negative. Endobronchial biopsy confirmed acute inflammation and noted cytopathic features of intranuclear inclusions (Cowdry type A) (Figure 3). Intravenous acyclovir 500 mg 8 hourly administered from day 7 for HSV pneumonia and probable encephalitis. She started improving from the second day of acyclovir. She was extubated on day 5 of acyclovir treatment and she made a complete clinical recovery from her illness with marked improvement of imaging (Figure 1c). Intravenous acyclovir was continued for 2 weeks and discharged with oral acyclovir 400 mg 8 hourly for further 1 week after arranging follow up at Endocrinology clinic for diabetes mellitus.

This lady’s initial presentation had clear evidence of pneumonia and the ABG showed metabolic acidosis, which was explained, by DKA and lactic acidosis. She was aggressively treated with empirical antibiotics targeting the Community-Acquired Pneumonia (CAP) while managing DKA with intravenous fluids and insulin. Her DKA recovered rapidly and lactate level was normalized. However, she continued to have high fever spikes, deterioration of GCS, progressive chest radiographic abnormalities, persistently elevated CRP and ventilator dependent despite the improvement of DKA and lactic acidosis. She was on ventilator for more than 48 hours and therefore, the possibility of Ventilator-Associated Pneumonia (VAP) was thought. Cefoperazone-sulbactam was administered as the commonest pathogen associated with VAP in our setting is multidrug resistant Acenetobacter species, which was most of the time sensitive to Cefoperazone-sulbactam and the gram-negative cover was further intensified with Amikacin.

Figure 1: Chest radiography. (a). On admission chest radiograph noted bilateral patchy consolidations more towards the peripheries (b). Progression of opacities (c). Chest radiograph taken 4 weeks after starting acyclovir-showing improvement.

Figure 2: Bronchoscopic appearance of tracheobronchial tree. Scattered whitish plaque like lesions in a background of erythematous bronchial mucosa.

Figure 3 Bronchial biopsy with cytopathological evidence. (a). Extensive infiltration of inflammatory cells predominant of neutrophils in a background of necrosis (b). Higher power showing a single cell with early intra nuclear eosinophilic inclusion surrounded by a clear halo and margination of chromatin (Cowdry type A).

Her pneumonia was not responding to broad spectrum antibiotics and therefore, we looked for alternative pathogens like Mycobacterial, viral and invasive fungal pneumonia. HSV-1 is known to cause encephalitis, pneumonia and mucocutaneous disease like herpes labialis both in immunocompetent and immunodeficiency patients [6,7]. CT scan of the brain in patients with HSV-1 encephalitis shows cerebral oedema and hypodense lesions typically over the temporal lobe [8]. In one study, CT scan was abnormal in nearly half of patients whereas MRI was abnormal in all cases [9]. Therefore, normal CT scan of the brain did not exclude HSV-1 encephalitis in this case and Magnetic Resonance Imaging of the brain is not available in our center.

As she had herpes labialis, the possibility of HSV-1 encephalitis and pneumonia was suspected and offered HSV-1 DNA testing from lower respiratory sample and blood, which was found to be positive. The mere presence of HSV in a respiratory sample does not confirm the diagnosis HSV pneumonia, as its presence may be normal for those who are on prolonged ventilation [10]. For a firm diagnosis of HSV-1 pneumonia requires following features: a. Exclusion of other causes of pneumonia b. Cytopathological examination to demonstrate multinucleation with intranuclear inclusion and nuclear ground-glass opacities. c. HSV-DNA detection by PCR in lower respiratory sample or blood d. Rising antibody titers from paired serum samples [11]. There were cytopathological evidence of viral pneumonia in endobronchial biopsy in this patient and Immunohistochemistry (IHC) will help to differentiate HSV from CMV, which is not available in our set up. The diagnosis was finally confirmed as her blood and bronchial wash were positive for HSV-1 DNA and furthermore, she had marked clinic radiological recovery with acyclovir therapy.

HSV-1 is a rare pathogen to cause pneumonia and the awareness among clinicians is low in Sri Lanka. We suggest two main clinical implications with this case study. In the presence of herpes labialis in pneumonia patients, clinician should offer further investigations to look for HSV-1, especially those who need respiratory support. Co-existing pneumonia and encephalitis caused by HSV-1 should be suspected in those who have low GCS in addition to pneumonia. Bronchoscopic examination for cytopathological sampling helps to avoid over diagnosis too.

Consent: Written informed consent was obtained from the patient for publication of this case report and any accompanying images. A copy of the written consent is available for review by the Editor in Chief of this journal.

Competing interests: The authors declare that they have no competing interests.

Authors’ contributions: UP, AH, DG, and SM were involved actively in the management of the patient. UP drafted the manuscript. All the others provided valuable inputs and guidance during the preparation of manuscript. All authors read and approved the final manuscript.

Acknowledgements: We would like to thank the,

1. Staff of department of intensive care and respiratory medicine, District General Hospital Trincomalee, where this patient was initially managed and followed up.

2. Dr Lakmali Kariyawasam, Consultant Pathologist, District General Hospital Hambanthota, for her support in interpreting pathological specimens.

3. The department of virology, National Hospital of Kandy, for diagnostic laboratory support.

4. The patient and relatives who were kind enough to give consent to publish this case report.

  1. Catia Cillóniz, Antoni Torres, Michael S Niederman. Management of pneumonia in critically ill patients. BMJ. 2021; 375: e065871.
  2. Lee JS, Giesler DL, Gellad WF. Antibiotic Therapy for Adults Hospitalized with Community-Acquired Pneumonia-Systematic Review. JAMA. 2016.
  3. Kalil AC, Metersky ML, Klompas M, Muscedere J, Sweeney DA, et al. Management of adults with hospital-acquired and ventilator-associated pneumonia: 2016 clinical practice guidelines by the Infectious Diseases Society of America and the American Thoracic Society. Clin Infect Dis. 2016; 63: e61-111.
  4. Assefa M, Tigabu A, Belachew T, Tessema B. Bacterial profile, antimicrobial susceptibility patterns, and associated factors of community-acquired pneumonia among adult patients in Gondar, Northwest Ethiopia: A cross sectional study. PLoS ONE. 2022; 17: e0262956.
  5. Olli Ruuskanen, Elina Lahti, Lance C Jennings, David R Murdoch. Viral pneumonia. Lancet. 2011; 377: 1264-1275.
  6. Michael J Bradshaw 1, Arun Venkatesan. Herpes Simplex Virus-1 Encephalitis in Adults: Pathophysiology, Diagnosis, and Management. Neurotherapeutics. 2016; 13: 493-508.
  7. Marlene Ersgaard Jellinge, Frank Hansen, John Eugenio Coia, Zhijun Song. Herpes Simplex Virus Type 1 Pneumonia-A Review. J Intensive Care Med. 2021; 36: 1398-1402.
  8. Weisberg LA, Greenberg J, Stazio A. Computed tomographic findings in acute viral encephalitis in adults with emphasis on herpes simplex encephalitis. Comput Med Imaging Graph. 1988; 12: 385-392
  9. Sili U, Kaya A, Mert A. Group HSVES. Herpes simplex virus encephalitis: clinical manifestations, diagnosis and outcome in 106 adult patients. J Clin Virol 2014 ;60: 112-118.
  10. Saugel B, Jakobus J, Huber W, Hoffmann D, Holzapfel K, et al. Herpes simplex virus in bronchoalveolar lavage fluid of medical intensive care unit patients: Association with lung injury and outcome. J Crit Care 2016; 32: 138-44.
  11. Ishihara T, Yanagi H, Ozawa H, Takagi A. Severe herpes simplex virus pneumonia in an elderly, immunocompetent patient. BMJ Case Rep. 2018.
+