Open Access, Volume 9

A rare case of vesicocutaneous fistula over the right thigh managed conservatively

Yash R Godbole; Ajay Chahal*; Dr. (Brig) DK Jain

Bharati Vidyapeeth Medical College and Research Centre, India.

Ajay Chahal

Bharati Vidyapeeth Medical College and Research Centre, India.
Email: chindhadedevika@gmail.com

Received : February 15, 2023, Accepted : March 16, 2023
Published : March 20, 2023, Archived : www.jclinmedcasereports.com

Abstract

Bladder trauma is encountered in 5-10% of cases of pelvic trauma [1]. The degree of the bladder injury is determined by various factors including amount of urine contained in the bladder at the time of injury, impact of the force as well as the pelvic osseous injury. Blunt trauma accounts for 60-85%, while penetrating trauma accounts for 15-51% of bladder injuries [3]. We review a case of extraperitoneal bladder trauma following bladder injury leading to a vesico-cutaneous fistula over the right thigh.

Keywords: Genitourinary trauma; Vesicocutaneous fistula; Bladder trauma.

Copy right Statement: Content published in the journal follows Creative Commons Attribution License (http://creativecommons.org/licenses/by/4.0). © Chahal A (2023)

Journal: Open Journal of Clinical and Medical Case Reports is an international, open access, peer reviewed Journal mainly focused exclusively on the medical and clinical case reports.

Citation: Godbole YR, Chahal A, Jain DK. A rare case of vesicocutaneous fistula over the right thigh managed conservatively. Open J Clin Med Case Rep. 2023; 1998.
Introduction

As many as 70% of bladder injuries are associated with pelvic fractures. In most cases however, bone fragments are usually not directly responsible for bladder injury. It is usually the compressive and sheer forces of blunt trauma tear tissues attached to the extraperitoneal portions of the bladder, or the abrupt increase in intravesical pressure which causes the bladder dome to burst into the peritoneum [2]. Classically, extraperitoneal ruptures if small can be managed with drainage via a catheter and conservation alone. Whether the site of injury is extraperitoneal or intraperitoneal, initial treatment in both cases always involves indwelling catheter drainage. Late presentations may include abscesses in the pelvis. approximately 62% of bladder ruptures are extraperitoneal, 25% are intraperitoneal, and 12% are combined [2]. Vesicocutaneous fistulae post trauma are a rare entity. An even rarer entity is presentation of such a fistula over the thigh.

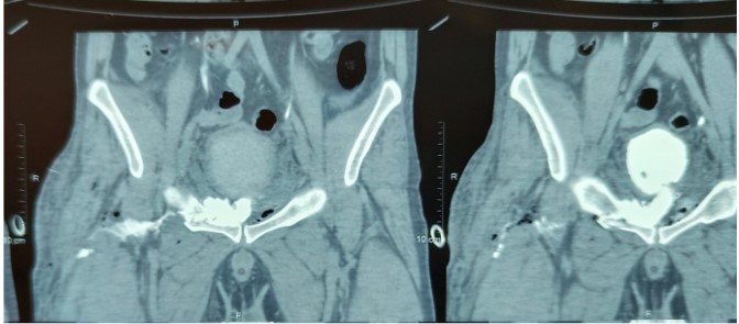
Our index case is a 28-year-old male who fell from a height of approximately 2 stories resulting in a closed pelvic fracture. The patient presented to us within 12 hours of injury with a right thigh wound caused by a penetrating injury caused by a metal rod. On presentation, he had an approximately 2 cm by 2.5 cm lacerated wound over the lateral aspect of the right thigh with a serous fluid like discharge from the wound site. On foley’s catheterisation, 400 millilitres of clear urine was drained. Ultrasound revealed normal kidneys bilaterally with a partially distended bladder as well as peri vesical collection. Computed tomography (CT) scan revealed right pubic ramus fracture with multiple displaced fragments as well as a left acetabular fracture. On delayed phase, contrast extravasation was noted on the right side of the bladder neck via a defect measuring 10 mm x 15 mm. The contrast was seen extending along the space of Retzius as well as along ilio-psoas and obturator internus muscles as well as soft tissue spaces of the thigh. After 3 days of conservation and drainage via catheter, a diagnostic cystoscopy was performed and revealed a zone of erythema at the left superolateral surface of the bladder approximately 2 cm from the bladder neck. However, no obvious rent or tear was seen. Findings were confirmed after performing an on table cystogram with contrast and C-arm guidance. The patient was discharged thereafter with foleys catheter in situ for 2 weeks and later given a successful foleys free trial as well as successful healing of the right thigh wound.

Figure 1: Clinical photograph of the right thigh wound.

Figure 2: CT image of the site of rupture noted in the bladder.

Figure 3: CT image depicting the path of the fistulous tract.

Discussion

Urinary bladder perforation in a case of pelvic trauma is encountered in 5-10% of cases. Approximately 62% of bladder ruptures are extraperitoneal, 25% are intraperitoneal, and 12% are combined [2]. Extraperitoneal tears are managed conservatively in cases where there is no associated hollow organ injury or patient is hemodynamically stable. Although gross hematuria maybe seen in 67-95% of cases, is the most classical symptom associated with bladder trauma and microscopic hematuria accounting for 5% of cases [3], our patient presented with 1-2 red blood cells per high power field. Prompt diagnosis and intervention can prevent development of complications, especially in cases of intra-peritoneal injury leading to urinary ascites. In a previously published study by Vanderbilt university in 1995 reported significant (26%) complications in those managed conservatively, including vesicocutaneous fistula (3%), failure to heal (15%), and sepsis in one case leading to death [1]. In our case, as the time of presentation was quite early and the patient was hemodynamically stable without associated injury to other organs, conservative management could be considered. Moreover, aggressive surgical intervention was not required owing to the fact that extravasated urine was draining via the thigh wound. This case has been reported due to the rare occurrence of a vesicocutaneous fistula, especially via a thigh wound with early presentation.

References
  1. Murugavaithianathan, P. Bladder thigh fistula-rare presentation of conservatively managed extra peritoneal bladder rupture. Open Journal of Clinical and Medical Case Reports. 2018.
  2. Soto JA. Abdomen Trauma. Elsevier. 2017.
  3. Mahat, Y. A contemporary review of adult bladder trauma. Journal of Injury and Violence. 2019.
+