Open Access, Volume 9

Post-vaccine COVID-19 acute myocarditis: Case report

Benhlima A*; Arfaoui M; Elhamzaoui H; Alilou M

Faculty of Medicine and Pharmacy, Emergency Department, Ibn Sina Hospital, Rabat, Morocco.

Benhlima A

Faculty of Medicine and Pharmacy, Emergency Department, Ibn Sina Hospital, Rabat, Morocco.
Email: abdel.benhlima@gmail.com

Received : April 19, 2023, Accepted : June 05, 2023
Published : June 09, 2023, Archived : www.jclinmedcasereports.com

COVID-19 vaccines have reduced both lethality and hospitalization rates of the novel coronavirus disease. Nevertheless, multiple side effects have been reported in the literature, most often are harmless. We report two cases of acute myocarditis, hospitalized in the emergency department for chest pain occurring after the second dose of mRNA vaccine AstraZeneca. The SARS-Cov-2 infection was ruled out in both patients with a negative PCR obtained by nasal swabs and normal thoracic CT scans. Both patients had high levels of high-sensitive troponin I. Acute coronary syndromes were excluded with cardiac catheterization. Cardiac MRI showed signs in favor of acute myocarditis. The evolution was favorable for both patients after being put on anti-inflammatory treatment. The universality and accumulation of reports concerning acute myocarditis following COVID vaccination, in the absence of any other diagnostic element that could explain the myocardial injury, establish a strong causal link, although the etiopathogenesis of such injury remains poorly elucidated.

Keywords: Acute myocarditis; COVID-19; COVID-vaccines; Case report.

Copy right Statement: Content published in the journal follows Creative Commons Attribution License (http://creativecommons.org/licenses/by/4.0). © Benhlima A (2023)

Journal: Open Journal of Clinical and Medical Case Reports is an international, open access, peer reviewed Journal mainly focused exclusively on the medical and clinical case reports.

Citation: Benhlima A, Arfaoui M, Elhamzaoui H, Alilou M. Post-vaccine COVID-19 acute myocarditis: Case report. Open J Clin Med Case Rep. 2023; 2052.

As with many types of vaccines, such as smallpox and seasonal influenza vaccines [1-3], there have been several reports of post-vaccination myocarditis with different types of COVID-19 vaccines [4,5]. We present the case of two young patients, aged 26 and 46 years, who developed acute myocarditis within two weeks after the second dose of mRNA anti-COVID-19 vaccines.

Patient no 1: Patient A.S., 26 years old, with no cardiovascular risk factors or significant pathologic history, admitted to the emergency department for angina pain occurring after 14 days of the second dose of the Covid-19 vaccine type Vaxzevria (Oxford/AstraZeneca vaccine). The patient had no contact with a Covid-19 positive case, no recent influenza-like illness and a negative SARS-Cov-2 PCR on admission.

Clinical findings: The initial admission clinical examination did not reveal any significant abnormalities.

Diagnostic assessment: The initial ECG showed an inferolateral ST-segment elevation (Figure 1). The ultra-sensitive troponin I level was 6.7 ng/mL (normal value NV< 0.04 ng/mL). Coronary angiography did not show any coronary network lesion. Markers of inflammation were elevated, with CRP at 230 (VN< 6 mg/L).

The viral respiratory panel, including SARS-Cov-2 PCR, was negative.

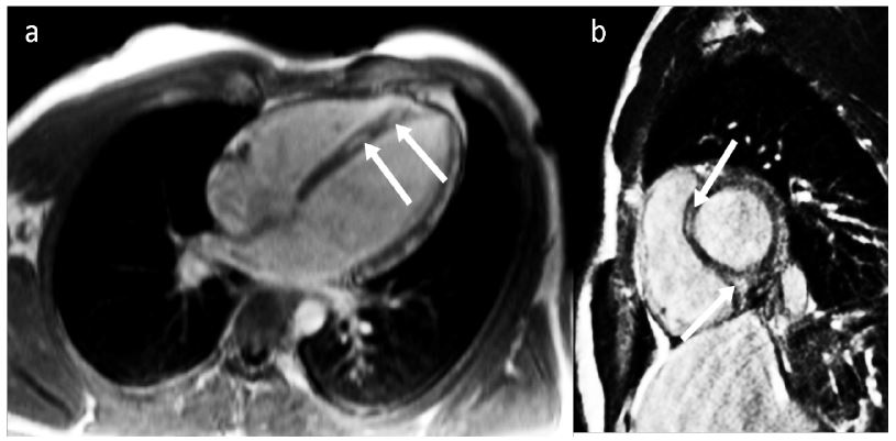
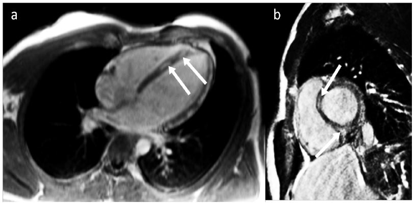
Echocardiography did not show any particularity. Cardiac MRI showed late enhancement at the septo-apical level (Figure 2). The diagnosis of acute myocarditis was retained.

Therapeutic intervention: The evolution under treatment with non-steroidal anti-inflammatory drugs (NSAIDs) was marked by clinical and biological improvement. The troponin level decreased by half on day 3 and was normalized by day 5.

Follow-up and outcomes: To date, the patient remains asymptomatic, in good clinical condition, with no reported complications or recurrence.

Patient No 2: Patient S.H, 46 years old, with no notable pathological history, was vaccinated 15 days before her admission with the anti-COVID-19 vaccine Vaxzevria (Oxford/AstraZeneca). She was admitted to the emergency department for chest pain associated with palpitations and asthenia. The patient had no history of contact with Covid-19 or recent influenza-like illness.

Clinical findings: at 160 beats/min, hemodynamically well tolerated.

Diagnostic assessment: The ECG showed ventricular tachycardia (Figure 3). Biologically, the ultra-sensitive Troponin I level was 1.97 ng/mL (normal value NV< 0.04 ng/mL), CRP was 24.3mg/L, kalemia was 4.2 mmol/L, and TSH was 1.06 mIU/L.

The respiratory panel for other viral infections responsible for the myocarditis was negative, as was the SARS-Cov-2 PCR obtained by nasal swab. Echocardiography and coronary angiography were unremarkable.

Cardiac MRI showed late subepicardial enhancement at the apex suggestive of myocarditis.

Therapeutic intervention: The patient was initially put on Lidocaine with rapid return to a regular sinus rhythm. The patient was put on analgesics and corticosteroid therapy based on methylprednisolone at 2 mg/Kg for 7 days, then a progressive reduction over three weeks. The clinical and biological evolution was favorable.

Follow-up and outcomes: To date, the patient has not reported any symptomatic recurrence, in good clinical condition, with no reported complications.

Figure 1: Electrocardiogram showing inferolateral ST-segment elevation.

Figure 2: Four-cavity (a) and short-axis (b) cardiac MRI showing late gadolinium enhancement in septal wall, suggestive of myocarditis.

Figure 3: Electrocardiogram showing ventricular tachycardia.

We report two cases of acute symptomatic myocarditis occurring after the second dose of Vaxzevria vaccine (Oxford/AstraZeneca vaccine), in the absence of any clinical, biological or radiological evidence of concomitant SARS-Cov-2 infection and a negative etiological investigation.

The occurrence of post-vaccine acute myocarditis or perimyocarditis is a rare event but has been reported sporadically in the literature. Prior to the Covid-19 era, acute myocarditis constituted approximately 0.1% of adverse events reported to the Vaccine Adverse Event Reporting System (VAERS) in the United States between 1990 and 2018 [6].

Since the introduction of Covid-19 vaccination, several cases of acute myocarditis occurring after vaccination have been reported [4,5,7]. For example, the Centers for Disease Control and Prevention CDC Advisory Committee on Immunization Practices reported a rate of 3.5 cases of myocarditis per million second doses of the various mRNA vaccines administered [8]. Similarly, the US Army reported 23 cases of myocarditis among 2.8 million doses of mRNA vaccines administered [9]. Similarly, an Israeli study reported a prevalence of 16 cases of myocarditis per 100,000 vaccinated young men aged 14 to 26 years [10].

Several hypotheses tried to explain the etiopathogenic mechanisms of post-vaccination myocarditis. One of them is the involvement of anti-idiotype antibodies in a cross-reaction with myocyte cells, leading to apoptosis and inflammation of the myocardium. RNA vaccines are also suspected of triggering an innate inflammatory response responsible for myocardial damage [11,12]. The intramuscular injection method, without prior aspiration, with the possibility of air bubble injection has been widely discussed.

The time between vaccination with COVID-19 and the onset of symptoms related to myocarditis varies considerably between individuals. The two cases we report presented clinical signs 2 weeks after the second dose of Vaxzevria vaccine (Oxford/AstraZeneca). In the literature, almost all cases of myocarditis have been reported within one week of vaccination, with an average duration of three days [13]. Other reports have highlighted a longer delay of up to 40 days, suggesting the involvement of the composition of the different vaccines and the individual immune response [14].

The diagnosis of acute myocarditis remains a challenge due to the non-specificity of the symptoms. Given the diversity of clinical presentations, ranging from simple chest pain to unexpected cardiogenic shock, and the aspecific increase in cardiac biomarkers, cardiac MRI has been shown to be essential for diagnostic confirmation and topographical characterization, although endomyocardial biopsy remains the golden standard for histological certainty [15].

The therapeutic management of patients with acute post-vaccinal myocarditis and perimyocarditis is based on the use of NSAIDs, glucocorticoids and colchicine in the first line of treatment for several authors. Other reports suggest the use of immunoglobulins, betablockers, and converting enzyme inhibitors in systolic ventricular dysfunction. Although studies on the treatment of these patients are lacking, these therapies should be considered, especially in patients with significant symptomatology.

Conflicts of interest: The authors declare no conflict of interest

Author contributions: All authors contributed to the conduct of this work. All authors also declare that they have read and approved the final version of the manuscript.

  1. Halsell JS, Riddle JR, Atwood JE, Gardner P, Shope R, Poland GA, et al. Myopericarditisfollowingsmallpox vaccination amongvaccinia-naive US military personnel. JAMA. 2003; 289: 3283‑3289.
  2. Kim YJ, Bae JI, Ryoo SM, Kim WY. Acute Fulminant Myocarditis Following Influenza Vaccination RequiringExtracorporeal Membrane Oxygenation. Acute Crit Care. mai 2019; 34:165-169.
  3. Cheng MP, Kozoriz MG, Ahmadi AA, Kelsall J, Paquette K, Onrot JM. Post-vaccination myositis and myocarditis in a previouslyhealthy male. AllergyAsthma Clin Immunol Off J Can Soc Allergy Clin Immunol. 2016; 12: 6.
  4. Kim HW, Jenista ER, Wendell DC, Azevedo CF, Campbell MJ, Darty SN, et al. Patients With Acute Myocarditis Following mRNA COVID-19 Vaccination. JAMA Cardiol. 2021; 6: 1196‑1201.
  5. Marshall M, Ferguson ID, Lewis P, Jaggi P, Gagliardo C, Collins JS, et al. Symptomatic Acute Myocarditisin 7 Adolescents After Pfizer-BioNTech COVID-19 Vaccination. Pediatrics. 2021; 148: e2021052478.
  6. Su JR, McNeil MM, Welsh KJ, Marquez PL, Ng C, Yan M, et al. Myopericarditisafter vaccination, Vaccine Adverse Event Reporting System (VAERS), 1990-2018. Vaccine. 2021; 39: 839‑845.
  7. Diaz GA, Parsons GT, Gering SK, Meier AR, Hutchinson IV, Robicsek A. Myocarditis and PericarditisAfter Vaccination for COVID-19. JAMA. 2021; 326: 1210‑1212.
  8. Rosenblum HG. Use of COVID-19 Vaccines After Reports of Adverse Events AmongAdultRecipients of Janssen (Johnson & Johnson) and mRNA COVID-19 Vaccines (Pfizer-BioNTech and Moderna): Update from the Advisory Committee on Immunization Practices — United States, July 2021. MMWR Morb Mortal Wkly Rep. 2021.
  9. Montgomery J, Ryan M, Engler R, Hoffman D, McClenathan B, Collins L, et al. Myocarditis Following ImmunizationWith mRNA COVID-19 Vaccines in Members of the US Military. JAMA Cardiol. 2021; 6: 1202‑1226.
  10. Singh B, Kaur P, Cedeno L, Brahimi T, Patel P, Virk H, et al. COVID-19 mRNA Vaccine and Myocarditis. Eur J Case Rep Intern Med. 2021; 8: 002681.
  11. Segal Y, Shoenfeld Y. Vaccine-inducedautoimmunity: the role of molecular mimicry and immune crossreaction. Cell Mol Immunol. 2018; 15: 586‑594.
  12. Das BB, Moskowitz WB, Taylor MB, Palmer A. Myocarditis and Pericarditis Following mRNA COVID-19 Vaccination:What Do We Know So Far? Child Basel Switz. 2021; 8: 607.
  13. Das BB, Moskowitz WB, Taylor MB, Palmer A. Myocarditis and Pericarditis Following mRNA COVID-19 Vaccination:What Do We Know So Far? Child Basel Switz. 2021; 8: 607.
  14. Gargano JW, Wallace M, Hadler SC, Langley G, Su JR, Oster ME, et al. Use of mRNA COVID-19 Vaccine After Reports of MyocarditisAmong Vaccine Recipients: Update from the Advisory Committee on Immunization Practices - United States, June 2021. MMWR Morb Mortal Wkly Rep. 2021; 70: 977‑982.
  15. Caforio ALP, Pankuweit S, Arbustini E, Basso C, Gimeno-Blanes J, Felix SB, et al. Current state of knowledge on aetiology, diagnosis, management, and therapy of myocarditis: a position statement of the European Society of CardiologyWorking Group on Myocardial and PericardialDiseases. EurHeart J. sept 2013; 34: 2636‑2348, 2648a‑2648d.
+