Open Access, Volume 9

Coexistence of ALK-negative anaplastic large T-cell lymphoma and plasmablastic lymphoma in the same patient: A case report

Bianca Mecacci1*; Alberto Fabbri1; Emanuele Cencini1; Margherita Malchiodi1; Letizia Sansotta2; Monica Bocchia1

1Department of Hematology, Azienda Ospedaliera Universitaria Senese & University of Siena, Siena, Italy.
2Department of Radiology, Azienda Ospedaliera Universitaria Senese & University of Siena, Siena, Italy.

Bianca Mecacci

Department of Hematology, Azienda Ospedaliera Universitaria Senese & University of Siena, Siena, Italy.
Email: biancamecacci89@gmail.com

Received : May 10, 2023, Accepted : July 03, 2023
Published : July 10, 2023, Archived : www.jclinmedcasereports.com

Alk-negative anaplastic lymphoma and plasmablastic lymphoma are both rare lymphoid neoplasms, and usually have poor prognosis. We present the case of a patient who was diagnosed with both diseases within a short time from each other. To the best of our knowledge this is the first case in which the two disorders are reported concomitantly and it demonstrates how the unexpected and rare presentation can imply diagnostic problems and therapeutic difficulties, despite the use of targeted treatments.

Keywords: Anaplastic large T-cell lymphoma; Plasmablastic lymphoma; Lymphoma, CD 30+ Lymphoma.

Copy right Statement: Content published in the journal follows Creative Commons Attribution License (http://creativecommons.org/licenses/by/4.0). © Mecacci B (2023)

Journal: Open Journal of Clinical and Medical Case Reports is an international, open access, peer reviewed Journal mainly focused exclusively on the medical and clinical case reports.

Citation: Mecacci B, Fabbri A, Cencini E, Malchiodi M, Sansotta L, Bocchia M. Coexistence of ALK-negative anaplastic large T-cell lymphoma and plasmablastic lymphoma in the same patient: A case report. Open J Clin Med Case Rep. 2023; 2065.

T-Cell Lymphomas (TCL) are a heterogeneous group of lymphoid malignancies that are characterized by frequent disease relapse and poor prognosis compared to B-cell neoplasms, except for Anaplastic Lymphoma Kinase (ALK)-positive Anaplastic Lymphoma (ALCL) [1]. ALK-negative ALCL is an uncommon CD30-positive disease that accounts for 6% to 24% of TCL, it is mainly reported in older population and frequently displays chemo-refractoriness with an aggressive clinical behavior [1]. Plasmablastic Lymphoma (PBL) is an aggressive subtype of Non-Hodgkin Lymphoma (NHL), firstly described in Human Immunodeficiency Virus (HIV)-positive patients with a frequent extra nodal involvement [2]. The name is due to the peculiar morphology of immunoblasts and their immunophenotype typical of plasma cells, with a minimal expression of CD20 despite their B-cell origin [2]. Even if a standard therapy is lacking, the most common first-line treatment for both these lymphomas is represented by cyclophosphamide, doxorubicin, vincristine and prednisone (CHOP) or CHOP-like regimens (associated with etoposide for ALCL and with bortezomib for PBL) [3-6]. Unfortunately, overall prognosis is poor for both entities, despite high dose therapy and Autologous Stem-Cell Transplantation (ASCT) as consolidation for responsive chemosensitive patients [1,2].

In our knowledge, the development of both ALCL and PB in the same patient has never been described in the literature. Here we report a case of extranodal PBL development in a patient after receiving seven months of treatment for ALCL.

A 51-year-old male was admitted to Hematology Department with a 2 months history of lumbar and testicular pain and multiple hepatic nodularities showed at the abdominal ultrasound, suspicious for lymphoid neoplasm. No palpable lymph nodes were present. The computed tomography (CT) scan demonstrated multiple infra and supradiaphragmatic enlarged lymph nodes, pulmonary and hepatic nodules, multiple osteolytic lesions and a right testicular pathological lesion. A 18F-FDG positron emission tomography (PET)-CT confirmed all anatomic lesions as PET-avid. A surgical, right orchiectomy led to the diagnosis of ALK-negative ALCL. The immunohistochemical analysis showed CD45 (+), CD30 (+), ALK (-), CD2 (+), CD3 (-/+), CD4 (+), CD5 (+/-), CD7 (+), CD8 (-), MUM1 (+), TIA1 (-/+), GRANDZYME B (-), CD56 (-), with a high Ki67 proliferation index (70-80%). Bone marrow biopsy was negative for lymphoma infiltration.

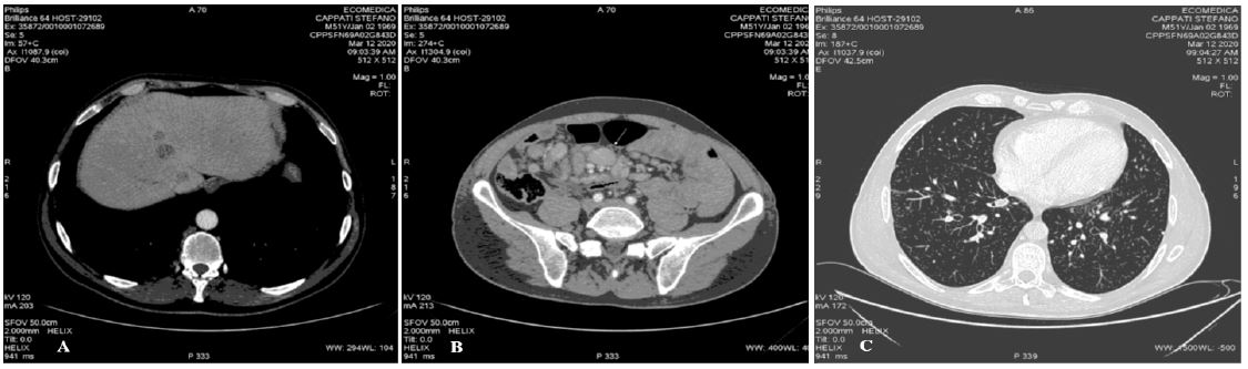
Complete blood cell count indicated increased WBC (28.000/mm3, with neutrophilia), and platelet count (577.000/mm3), high levels of lactate dehydrogenase (LDH) (636 mU/ml), B2-microglobulin (3,84 mg/L) and C-reactive protein (8,94 mg/L). This inflammatory state rapidly improved with steroid pre-phase treatment. Ann-Arbor staging was IVa (Figure 1).

Figure 1: Baseline CT-scan: hepatic lesions (a), abdomen lymphadenopathy (b), lung lesions (c).

He received CHOEP regimen (cyclophosphamide 750 mg/m2, doxorubicin 50 mg/m2, vincristine 1,4 mg/m2 day 1 with a cap of 2 mg, etoposide 100 mg/m2 days 1-3, prednisone 100 mg days 1-5), two intrathecal injections with dexamethasone 4 mg, cytarabine 50 mg and methotrexate 12.5 mg and one high-dose (HD)-methotrexate infusion (3,5 g/m2) as prophylaxis of central nervous system. After two CHOEP cycles a CT scan was performed and a 60% reduction of all disease localizations was detected with a sclerosis of bone’s lesions (interpreted by radiologist as tissue reconstitution). A subsequent CT-PET scan performed after two more cycles showed an additional reduction of nodal, bone and hepatic lesions but a new PET-avid trapezius muscle lesion (Figure 2a) and the increase of uptake in two mesenteric lymph nodes (Deauville score -DS- 5).

Given disease persistence, it was decided to start 2nd line therapy with the anti-CD30 monoclonal antibody-drug conjugate brentuximab vedotin (BV). He received 3 cycles every three weeks and was evaluated with a new CT-PET scan that showed the disappearance of all known lesions including trapezius muscle but the onset of a new PET-avid polypoid duodenal lesion (Figure 2b).

Figure 2: PET-avid trapezius muscle lesion (a), PET-avid polypoid duodenal lesion (b).

Figure 3: Diffuse nodular dermatosis (a), (d), with ulceration (b) and lytic lesion of the cranial theca (c).

We scheduled an esophagogastroduodenoscopy that was delayed for nearly a month due to the occurrence of an asymptomatic Covid-19 infection and that unfortunately revealed an infiltrating, bleeding, voluminous duodenal mass. The lesion was surgically removed and histopathological examination confirmed ALCL localization.

He then started third line therapy with ICE regimen (ifosfamide 1660 mg/m2, carboplatin 5AUC (745 mg) etoposide 100 mg/m2) with an early evaluation after second cycle showing only a 30% of duodenal lesion reduction qualifying disease response as Stable Disease (SD).

Due to this chemo-refractoriness, the patient was referred to a different center to evaluate a possible experimental therapeutic strategy with novel agents. In the context of screening procedures, the histological review of duodenal lesion was performed and unexpectedly didn't confirm the diagnosis of ALCL. Pathologists agreed on the presence of a lymphoproliferative disorder EBV-associated like lymphoplasmablastic lymphoma due to a very peculiar appearance, with a diffuse lymphoid proliferation sometimes with plasmablastic differentiation, sometimes with anaplastic morphology (CD30+, MUM-1+, CD38+, CD38-, CD3-, CD4-, CD5-, CD7-, CD8-, CD45-/+, CD56-, EBV+, ki67 70-80%).

At the same time the patient developed a diffuse nodular dermatosis that after skin biopsy resulted to be as ALK-negative ALCL localization (Figure 3a).

Given the presence of two different, aggressive and concomitant lymphoid malignancies in a highly pre-treated patient eligible to Allogenic Stem Cell Transplantation (allo-SCT), a low toxicity off-label biological regimen was proposed and accepted by the patient as bridging therapy. Hi signed inform consent according to Helsinky declaration and its attendments.

With the purpose of curing both lymphomas, an empiric triple combination of BV (1,8 mg/Kg every 21 days), lenalidomide (25 mg day 1-14 every 21 days) and bortezomib (1 mg/m2 subcutaneously day 1, 4, 8, 11 every 21 days) was given.

Despite an initial clinical improvement, the evolution of patient’s malignant lesions (both subcutaneous nodules and deeper intramuscular lumps) was fluctuating during the first cycles of therapy and was characterized by growth, regression and ulceration (Figure 3b). After two cycles CT-PET scan was repeated and showed a progressive disease with multiple extra nodular (pulmonal and surrenal) localizations, numerous pathological axillary and inguinal enlarged lymph nodes and a voluminous cutaneous-subcutaneous lytic lesion of the cranial theca (Figure 3c).

Due to this disappointing result, he was switched to GVD (gemcitabine 1000 mg/m2, Vinorelbine 20 mg/m2, and pegylated Liposomal Doxorubicin (LPD) 15 mg/m2), with a dual purpose to investigate a non-cross resistant regimen and to favor an increase uptake by the tumor tissue given the special skin tropism of LPD; furthermore, due to CD30 expression we also associated Brentuximab Vedotin to this combination.

Unfortunately, the patient experienced a PD with appearance of a new left arm lesion (Figure 3d), thus he received only palliative care and died shortly after.

We report a peculiar case, in which the patient experienced concomitant ALK-negative ALCL and PBL, both entities have poor prognosis, even if novel agents could represent a promising treatment strategy.

There are few cases of synchronous ALCL and lymphoproliferative disorders reported in literature. In five cases it was associated with multiple myeloma (synchronous or metachronous) while to our knowledge our patient is the first one in which ALCL and PBL are reported. The most recently reported case is the synchronous development of ALCL and multiple myeloma in a 63-year-old woman that similarly had cutaneous lesions of ALK-negative ALCL (18).

ALK-negative ALCL patients are older, with higher LDH values and worse performance status and prognosis compared to ALK-positive patients [1]. Patients with recurrent ALCL could have a clinical benefit with BV, as demonstrated in a pivotal phase II study. However, despite a promising ORR and CR rate of 86% and 57%, respectively, median DOR was only 12.6 months and most patients finally had disease relapse [7,8].

PBL is characterized by the association with Epstein-Barr virus (EBV) and typically occurs in immunocompromised patients. Our patient was iatrogenic immunosuppressed, having received four cycles of chemotherapy (CHOEP regimen). PBL is usually extra nodal, with more than half of the cases occurring in the upper aerodigestive and gastrointestinal tract [9]. It is a high-grade neoplasm combining features of B-cell and plasma-cell neoplasms [10]. Interestingly, some PBL cases might aberrantly express T-cell markers, such as CD2, CD3, CD4, or CD7, a pitfall which might be the cause for an erroneous diagnosis of TCL [11]. This phenomenon has also been reported in plasmablastic myeloma (PBM), making the phenomenon of aberrant T-cell antigen expression unhelpful for the differential diagnosis between TCL, PBL and PBM [12].

Plasmablastic neoplasms are heterogenous, the 2017 WHO classification of lymphoid neoplasms includes PBL, plasmablastic plasmacytoma/PBM, primary effusion lymphoma, ALK–positive large B-cell lymphoma and Kaposi sarcoma–associated herpesvirus/human herpesvirus 8 (HHV8)-positive diffuse large B-cell lymphoma, not otherwise specified [13]. These entities are usually diagnostically challenging for both pathologists and clinicians due to their rarity, the overlapping clinicopathologic features, negative expression of the commonly used screening panel for lymphoma (CD3 and CD20), and are characterized by dismal prognosis, despite current chemotherapy [13].

Nuclear factor kappa B (NF-κB) pathway activation plays an important role for PBL development; bortezomib and lenalidomide could exert antineoplastic effects by suppressing NF-κB pathway [2,14]. Moreover, lenalidomide is characterized by multiple mechanisms of action and it could represent a strong rationale for its use in the treatment of R/R TCL [15]. Recently, MM-like treatment regimens, including bortezomib and lenalidomide, have been considered for PBL and for R/R TCL [5,6,15]. In a previously published case report, a PR was achieved with cyclophosphamide, bortezomib and dexamethasone, that was interrupted due to peripheral neuropathy. A durable PR was maintained with the subsequent lenalidomide treatment, without disease progression for over 2 years; thus, the authors suggest bortezomib and lenalidomide could be effective for chemo refractory PBL cases [16].

In another interesting PBL case, the disease showed different characteristics and discordant treatment response between skin, which was responding well to bortezomib, and lymph nodes, which seemed refractory. Interestingly, in the same case, a significant although brief improvement with lenalidomide was reported for both skin lesions and enlarged lymph nodes [17].

In conclusion, there is an interesting rationale to investigate bortezomib and lenalidomide in both PBL and ALCL in prospective studies. PBL and ALCL are uncommon neoplasms and these kinds of trials are difficult to realize, thus case reports and/or retrospective studies could contribute to improve our knowledge, with the aim to design a targeted treatment strategy.

Author contributions: A. F. supervision, conceptualization, E. C. writing original draft preparation M.M. data collection, L.S. data collection, M.B. writing, review and editing. All authors have read and agreed to the published version of the manuscript.

Funding: University of Siena, research funds of UOC Hematology Siena.

Acknowledgments: The authors acknowledge oncological pharmacy of Siena and radiology department for providing data and images.

Conflicts of Interest: The authors declare no conflict of interest.

  1. Vose J, Armitage J, Weisenburger. D; International T-Cell Lymphoma Project. International peripheral T-cell and natural killer/T-cell lymphoma study: Pathology findings and clinical outcomes. J Clin Oncol. 2008; 26: 4124-4130.
  2. Castillo JJ, Bibas M, Miranda RN. The biology and treatment of plasmablastic lymphoma. Blood. 2015; 125: 2323-2330.
  3. Shustov A, Soma L. Anaplastic Large Cell Lymphoma: Contemporary Concepts and Optimal Management. Cancer Treat Res. 2019; 176: 127-144.
  4. Schmitz N, Trümper L, Ziepert M, Nickelsen M, Ho AD, et al. Treatment and prognosis of mature T-cell and NK-cell lymphoma: an analysis of patients with T-cell lymphoma treated in studies of the German High-Grade Non-Hodgkin Lymphoma Study Group. Blood. 2010; 116: 3418-3425.
  5. Guerrero-Garcia TA, Mogollon RJ, Castillo JJ. Bortezomib in plasmablastic lymphoma: A glimpse of hope for a hard-to-treat disease. Leuk Res. 2017; 62: 12-16.
  6. Cencini E, Fabbri A, Guerrini S, Mazzei MA, Rossi V, et al. Long-term remission in a case of plasmablastic lymphoma treated with COMP (cyclophosphamide, liposomal doxorubicin, vincristine, prednisone) and bortezomib. Eur J Haematol. 2016; 96: 650-654.
  7. Pro B, Advani R, Brice P, Bartlett NL, Rosenblatt JD, et al. Brentuximab vedotin (SGN-35) in patients with relapsed or refractory systemic anaplastic large-cell lymphoma: results of a phase II study. J Clin Oncol. 2012; 30: 2190-2196.
  8. Fabbri A, Cencini E, Gozzetti A, Schiattone L, Bocchia M. Therapeutic Use of Brentuximab Vedotin in CD30+ Hematologic Malignancies. Anticancer Agents Med Chem. 2017; 17: 886-895.
  9. Sanguedolce F, Zanelli M, Zizzo M, Martino G, Rossi C, et al. Clinical, pathological and molecular features of plasmablastic lymphoma arising in the gastrointestinal tract: A review and reappraisal. Pathol Res Pract. 2020; 216: 152973.
  10. Ahn JS, Okal R, Vos JA, et al. Plasmablastic lymphoma versus plasmablastic myeloma: an ongoing diagnostic dilemma. J Clin Pathol. 2017; 70: 775-780.
  11. Chang ST, Hsieh YC, Kuo CC, Chuang SS. Colonic CD30 positive plasmablastic plasmacytoma masquerading as anaplastic large cell lymphoma. Pathology. 2018; 50: 668-670.
  12. Soliman DSA, El Sabah H, Ganwo I, Amer A, Taha RY, et al. Aberrant Acquisition of T-cell Associated Markers in Plasma Cell Neoplasms: An Aggressive Disease with Extramedullary Involvement and Very Short Survival. Mediterr J Hematol Infect Dis. 2021; 13: e2021043.
  13. Chen BJ, Chuang SS. Lymphoid Neoplasms With Plasmablastic Differentiation: A Comprehensive Review and Diagnostic Approaches. Adv Anat Pathol. 2020; 27: 61-74.
  14. Dunleavy K, Pittaluga S, Czuczman MS, Dave SS, Wright G, et al. Differential efficacy of bortezomib plus chemotherapy within molecular subtypes of diffuse large Bcell lymphoma. Blood. 2009; 113: 6069-6076.
  15. Toumishey E, Prasad A, Dueck G, Chua N, Finch D, et al. Final report of a phase 2 clinical trial of lenalidomide monotherapy for patients with T-cell lymphoma. Cancer. 2015; 121: 716-723.
  16. Ando K, Imaizumi Y, Kobayashi Y, Niino D, Hourai M, et al. Bortezomib- and Lenalidomide-Based Treatment of Refractory Plasmablastic Lymphoma. Oncol Res Treat. 2020; 43: 112-116.
  17. Bibas M, Grisetti S, Alba L, Picchi G, Del Nonno F, et al. Patient with HIV-associated plasmablastic lymphoma responding to bortezomib alone and in combination with dexamethasone, gemcitabine, oxaliplatin, cytarabine, and pegfilgrastim chemotherapy and lenalidomide alone. J Clin Oncol. 2010; 28: e704-8.
  18. Xiaofeng Shi, Jiannong Wu, Qian Jianga, Shuo Zhang, Wanru Chen, et al. Synchronous diagnosis of anaplastic large cell lymphoma and multiple myeloma in a patient Medicine. 2020; 99: 44.
+