Open Access, Volume 9

Disseminated herpes simplex virus infection in immunocompetent patient

Jihad Abusrair1; Mohammed AlJawad2; Hiba Radwan1; Eman AlFaris1; Miral Mashhour3,4; Yamama AlJishi1*

1Department of Medicine, King Fahad Specialist Hospital Dammam, Saudi Arabia.
2Multiorgan Transplant Center, King Fahad Specialist Hospital Dammam, Saudi Arabia.
3Department of Laboratory and Pathology, King Fahad Specialist Hospital Dammam, Saudi Arabia.

Yamama Aljishi

Department of Medicine, King Fahad Specialist Hospital Dammam, Saudi Arabia.
Email: yamama.jishi@gmail.com

Received : May 31, 2023, Accepted : July 21, 2023
Published : July 25, 2023, Archived : www.jclinmedcasereports.com

We describe an immunocompetent 49 years old male who presented with 5 days of fever & anorexia that progressed to altered mentation and sever hepatitis. His CSF and blood viral PCR panel were positive for HSV-1. Liver biopsy reveled sub massive hemorrhagic hepatic necrosis with positive immunstain for HSV-1. His HSV serology was negative at presentation, Subsequent HSV-1gM converted to positive in 3 weeks.

Keywords: Disseminated herpes simplex virus; Viral hepatitis.

Abbreviations: CSF: cerebrospinal fluid; PCR: polymerase chain reaction; HSV-1: herpes simplex virus type 1.

Copy right Statement: Content published in the journal follows Creative Commons Attribution License (http://creativecommons.org/licenses/by/4.0). © Aljishi Y (2023)

Journal: Open Journal of Clinical and Medical Case Reports is an international, open access, peer reviewed Journal mainly focused exclusively on the medical and clinical case reports.

Citation: Abusrair J, AlJawad M, Radwan H, AlFaris E, Mashhour M, et al. Disseminated Herpes Simplex Virus Infection in Immunocompetent Patient. Open J Clin Med Case Rep. 2023; 2077.

Herpes Simplex Virus (HSV) hepatitis represents a rare complication of HSV infection, which can progress to acute liver failure and in some cases, death. Herpes simplex type 1 (HSV-1) infection in adults usually characterized by mucocutaneous painful rash grouped as vesicular lesions with underlying erythema, which eventually erode, and crust [1].

A 49 years old male was transferred to our institution as a case of acute liver failure. He was admitted at secondary local hospital with history of altered level of consciousness preceded by fever and anorexia for five days.

Prior to his presentation he was a healthy man. He was not on any medications. He returned from a short trip to South Africa passing by Dubai within less than a month of his presentation. There were no known specific infection exposures risk or activates during his travel and no known high-risk behaviors. On presentation to our institution he had fever 38.9oC, heart rate of 100, tachypnic with respiratory rate of 28-31 & hypoxic, he required 6 litter of O2 through face mask to maintain O2 saturation at 100%, his blood pressure was 112/55 mmHg on dopamine infusion. The patient was jaundiced alert but confused GCS 13/15. Mucocutaneous (for both oral and genital area) exam did not reveal any rash or ulcers, and his other systemic exam was not localizing for any abnormalities.

Blood work up showed leukopenia, lymphopenia, and thrombocytopenia, elevated INR; 1.4, lactic acid of 2.5, he was in acute kidney injury state. His liver enzymes were all elevated reflecting mixed pattern of hepatocelluar injury (Table 1). He was treated empirically with intravenous Meropenem and Doxycycline as a case of acute hepatitis / sepsis with possible hepatic encephalopathy versus infectious encephalitis pending his hepatitis work up. Multisequential contrast enhanced brain MRI findings are scattered areas of diffusion restriction involving the bilateral thalami and frontoparietal cortices with corresponding T2/FLAIR hyperintensity with bilateral scattered white matter non-specific foci of T2/FALIR hyperintensity.

Cerebrospinal fluid analysis showed one WBC, 11 RBCs with high protein 0.53 g/L (0.15 - 0.45) and glucose 5.1 mmol/liter (2.3 - 4.1). His blood & CSF HSV-1 PCR were both positive with viral multiplex PCR qualitative test. On reviewing his cycle threshold value (CT value), his blood HSV-1 PCR CT value was equivalent to 109 copies, for which he was started on acyclovir. The liver biopsy pathology reported as sub massive hemorrhagic hepatic necrosis that was positive for HSV-1 immunstain (Figure 1). Although his initial HSV IgM & IgG were both negative both tern to be positive on reassessment after 3 weeks.

Table 1: Initial blood work up.
Lab test Results value
WBC 2.3 X109/L
Lymphocytes 0.66
HB 14 g/dl
PLT 44 X109/L
Na 147 mmol/L
Creatinine 386 umol/L
Total bilirubin 79.24 umol/L
Direct bilirubin 62.6 umol/L
ALP 303 U/L
ALT 5166 U/L
AST 8953 U/L
HBs Ag Nonreactive
HBS Ab 670.25 mIU/ml
Anti HCV screening Nonreactive
HEV IgM Ab Negative
Leptosira IgM Negative
IgA 2.95 g/L (0.58-4.03)
IgE Total 95.3 IU/ml (0-250)
IgG 12.9 (8.1-16.5)
IgM 2.81 (0.58-4.34)
Total T-cells(CD3+)% 59.5 %
Total T-cells(CD3+) count 483 Cells/ uL (782-2834)
T-Helper(CD3+, CD4+)% 35%
T-Helper(CD3+, CD4+)count 283 Cells/uL (322-1750)
T-Suppressor( CD3+, CD8+)% 21 %
T-Suppressor (CD3+, CD8) count 171 Cells/uL (338-1086)
Helper/Suppressor ratio (CD4/CD8) 1.65 ( 0.8-2.4)
B-Lymphocyte (CD19+) % 23%
B-Lymphocyte (CD19+) count 185 Cells/uL (67-555)
NK ( CD16+, CD56+)% 15.7%
NK(CD16+, CD56+) count 127 Cells/uL
Activated T-cells (CD3+, HLA-DR+)% 0
Dengue virus Ab IgG and IgM Negative
Tetanus Toxoid IgG Ab Positive
Pneumococcal panel Ab Low

Hospitalization course was complicated by grade D esophagitis & upper gastrointestinal bleeding, Candidemia and renal failure requiring dialysis. At 4 weeks of his illness and despite partial resolution of some of his initial brain MRI thalamic and internal capsule scattered restricted diffusion, his cerebrospinal fluid HSV-1 PCR persisted to be positive and eventually he expired at around 2 months of his illness.

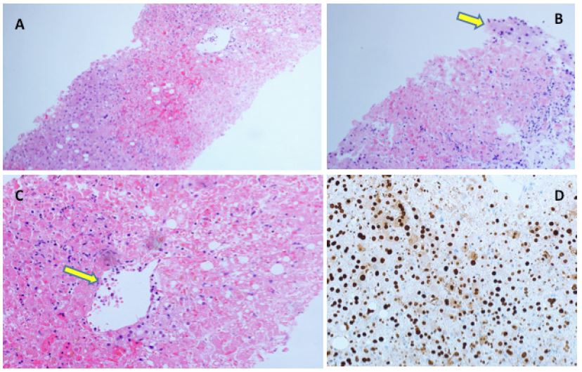
Figure 1: Liver biopsy pathology: sub massive hemorrhagic hepatic necrosis more pronounced at zone three, macrovesicular steatosis up to 7% mixed with microvesicular steatosis, mild portal inflammation by lymphoplasmacytic cells with few eosinophils, reticulin stain highlighted the area of collapse , there is evidence of hepatic regenerative changes , there is evidence of trace iron in kupffer cells. (A) H/E 4X showing hemorrhagic necrosis. (B) H/E 10X arrow show normal hepatocyte. (C) H/E 20x arrow showing hemorrhagic necrosis around the central vein. (D) HSV-1 immunostain is positive.

We present the case of an immunocompetent patient with acute fulminant hepatic failure complicated by encephalitis & renal failure due to severely disseminated HSV-1 primary infection.

Herpes Simplex Type 1 (HSV-1) infection in adults usually characterized by mucocutaneous painful rash grouped as vesicular lesions with underlying erythema, which eventually erode, and crust [1]. Because of its persistence in the neurons, the virus has the capability for recurrence. The clinical manifestation depends mainly on the immune status of the host [2].

HSV sepsis can lead to encephalitis, pneumonia, and esophagitis. HSV hepatitis in adults is a rare entity that was first reported in 1969 by Flewett et al. [3] Both immunocompetent and immunosuppressed patients can be affected. It accounts for 1% of acute liver failure cases and has mortality rates reaching 90% [4].

Sever acute infection; reinfection or recurrence of HSV is mostly triggered by changes in cellular immunity. Multiple theories proposed for the infection in the immunocompetent individuals. Theories include a high inoculation of HSV viremia at initial infection that overcomes immunological defenses, occult defects in T lymphocytes and/or macrophages processing HSV antigen, reinfection by a second strain increasing HSV virulence, or specific hepato-virulent strains of HSV [5].

Because of its low incidence and the lack of dermal manifestations, HSV hepatitis is rarely considered in the context of acute liver failure. The gold standard diagnostic test for HSV hepatitis is the liver biopsy, however the procedure is often not feasible immediately due to coagulopathy or ascites. It is often necessary to make the diagnosis based on clinical suspicion and laboratory testing. Common features pointing toward HSV hepatitis are aminotransferases >500, fever, coagulopathy, encephalopathy, leukopenia, thrombocytopenia, and Acute Renal Failure (ARF) [6]. Serum HSV PCR is rapid non-invasive diagnostic modality with high sensitivity and specificity that can expedite the diagnosis and treatment initiation [7].

Although rare, acute HSV-1 infection has been reported to disseminate in immunocompetent patient in absence of mucocutaneous lesions [8]. The current guidelines recommend acyclovir in the context of immunosuppression with acute fulminant hepatic failure but HSV-1 may be a co-factor and to be considered as a cause in immunocompetent [9]. Thus a high clinical suspicion and a rapid diagnosis is essential for early directed therapy.

Our case is of a particular interest given the rarity of fulminant hepatitis secondary to HSV-1 in an immunocompetent host. There was no evidence of overt immunodeficiency based on the testing done apart from poor response to pneumococcal polysaccharides antigens which dose not explain the current presentation. Early diagnosis and treatment of viral encephalitis or viral hepatitis secondary to disseminated HSV-1 infection remains vital to minimize morbidity and mortality. Although the signs and symptoms can be nonspecific, HSV disseminated infection must be considered in immunocompetent with multi-organ involvement and critically ill patient with no clear cause. It is important to highlight the need for high index of suspicion given that the patients might not develop characteristic mucocutaneous herpetic lesions, as well as highlighting the importance of looking for an associated underlying acquired or congenital immunocompromising condition.

Funding: No funding sources.

Competing interests: None declared.

Ethical approval: Not required.

  1. P Brown, S Elmasry, A Olagunju, S Garcia, M Sarihan. A Case of Disseminated Cutaneous Herpes Simplex Virus-1 as the First Manifestation of Human Immunodeficiency Virus Infection, J. Investig. Med. High Impact Case Rep. 2021; 9: 232470962110452.
  2. MJ Bradshaw, A Venkatesan. Herpes Simplex Virus-1 Encephalitis in Adults: Pathophysiology, Diagnosis, and Management, Neurotherapeutics. 2016; 13: 493-508.
  3. TH Flewett, RGF Parker, WM Philip. Acute hepatitis due to Herpes simplex virus in an adult, J. Clin. Pathol. 1969; 22: 60-66.
  4. C Riediger, P Sauer, E Matevossian, MW Müller, P Büchler, et al. Herpes simplex virus sepsis and acute liver failure: Herpes simplex virus sepsis and acute liver failure, Clin. Transplant. 2009; 23: 37-41.
  5. JP Norvell, AT Blei, BD Jovanovic, J Levitsky. Herpes simplex virus hepatitis: An analysis of the published literature and institutional cases, Liver Transpl. 2007; 13: 1428-1434.
  6. K Ergle, L Caruso, M Burt, B Desai, R Patel. Herpes Simplex Virus (HSV) in the Differential for Fulminant Hepatic Failure, Case Rep. Clin. Med. 2015; 04: 63-68.
  7. REFERENCE 7.pdf, (n.d.).
  8. M Glas, S Smola, T Pfuhl, J Pokorny, RM Bohle, et al. Fatal Multiorgan Failure Associated with Disseminated Herpes Simplex Virus-1 Infection: A Case Report, Case Rep. Crit. Care. 2012; 2012: 1-4.
  9. J Wendon, J Cordoba, A Dhawan, FS Larsen, M Manns, et al. EASL Clinical Practical Guidelines on the management of acute (fulminant) liver failure, J. Hepatol. 2017; 66: 1047-1081.
+