Open Access, Volume 9

To chase or not to chase: A case report on warburg effect in a patient with Meningioma

Edwin Yii Sze Sian*; Joseph Lau Kah Fu

Anaesthesia and Intensive Care Unit, Miri General Hospital, Sarawak, Malaysia.

Edwin Yii Sze Sian

Anaesthesia and Intensive Care Unit, Miri General Hospital, Sarawak, Malaysia.
Email: Casimir_yii@yahoo.com

Received : June 02, 2023, Accepted : July 24, 2023
Published : July 25, 2023, Archived : www.jclinmedcasereports.com

Introduction: The Warburg Effect (WE) is an uncommon cause of type B lactic acidosis usually found in hematological malignancies which preferred glycolysis rather than oxidative phosphorylation for energy production.

Case presentation: We report a case of a 50-years old lady with left parasaggital meningioma presented with unusual type B lactic acidosis intraoperatively. We suspected WE after excluding other causes of lactic acidosis and it took about 20 hours for the lactate level to drop below 2 mmol/l after surgical removal of the tumor.

Discussion: Not many clinicians aware of the existence of WE as it can be one of the diagnosis of exclusion. Meningioma causing WE are less common compared to glioblastoma. Clinicians must rule out other causes of high lactate such as presence of shock, hypoxemia, microcirculation failure, organ impairment with poor lactate clearance and also metabolic disorders. We suggested the use of advanced hemodynamic monitoring intraoperatively to assist anaesthetist with fluid management.

Conclusion: The diagnosis of WE can be a challenge for anaesthetist during the operation and in Intensive Care Unit while managing such patient. Vigilant anaesthetist with high index of suspicion of WE should manage the patient without over resuscitating them intraoperatively.

Keywords: Warburg effect; Lactic acidosis; Meningioma; Advance hemodynamic monitoring; Intensive care unit.

Abbreviations: LA: Lactic acidosis; WE: Warburg Effect; PK: Pyruvate Kinase; PKM2: Tumor M2-pyruvate kinase; CT: Ccomputed Tomography; MRI: Magnetic Resonance Imaging; IV: Intravenous; Ter Die Sumendum, Three times a day, TDS On night, ON; Q8H, Every 8 Hours; Q4H, Every 4 Hours; ABG: Arterial Blood Gas; NS: Normal Saline 0.9%; ICU: Intensive Care Unit; GBM: Glioblastoma Multiforme, GBM; SSV: Stroke Volume Variation; PPV: Pulse Pressure Variation.

Copy right Statement: Content published in the journal follows Creative Commons Attribution License (http://creativecommons.org/licenses/by/4.0). © Sze Sian EY (2023)

Journal: Open Journal of Clinical and Medical Case Reports is an international, open access, peer reviewed Journal mainly focused exclusively on the medical and clinical case reports.

Citation: Sze Sian EY, Joseph Lau KF. To chase or not to chase: A case report on warburg effect in a patient with meningioma. Open J Clin Med Case Rep. 2023; 2079.

Lactic Acidosis (LA) can be classified as 2 types which are type A and type B. Type A LA usually related to inadequate tissue perfusion in a context of sepsis, circulatory failure, hypovolemia or severe hypoxemia. On the other hand, type B LA can occurs without any sign of organ dysfunction and is related to deregulation of cellular metabolism [1]. LA can be defined as a pH of less than 7.35 and a blood lactate level greater than 5 mmol/l [2].

Warburg Effect (WE) is a type B LA usually found in haematological malignancies. The WE is caused by specific malignant cell metabolism, where tumor cells preferentially use glycolysis rather than oxidative phosphorylation for energy production. Tumor M2-pyruvate kinase (PKM2) is a dimeric form of the glycolytic enzyme pyruvate kinase (PK) isoenzyme type M2 that is also important for malignant transformation and found to be increased in various cancers [3]. We are reporting a rare case of WE in a patient with meningioma and aim to increase the level of awareness among treating physicians.

A 50 years old lady with underlying hypertension and dyslipidemia on treatment, presented with symptoms of right sided body weakness progressively worsening over past one year associated with loss of appetite and loss of weight. She denies any headache, loss of consciousness or fitting episode. Neurologically, muscle power over right upper limbs and lower limbs were 4/5. Muscle tone, reflexes and sensation were otherwise unremarkable. computed tomography (CT scan) brain and Magnetic Resonance Imaging (MRI) brain done suggestive of left parasaggital meningioma with extra axial mass from left fronto-parietal extending to occipital lobe measuring 4.9 x 3.6 x 7.1 cm associated with perilesional edema and midline shift. She was started on Intravenous (IV) Dexamethasone 4 mg TDS, IV Phenytoin 750 mg loading then subsequently 300 mg ON. Posted for left frontoparietal craniotomy and tumor excision. Induction was smooth with target controlled infusion (TCI) Remifentanil and Sevoflurane inhalational. She was intubated with Endotracheal Tube (ETT) sized 7.5 mm and anchored at 20 cm, otherwise uneventful. Left radial artery was cannulated for invasive blood pressure monitoring with adequate intravenous access. She received IV Dexamethasone 8 mg Q8H, IV Tranexamic Acid 1g Q8H, and IV Cloxacillin 1 g Q4H during the operation.

Baseline arterial blood gas (ABG) taken prior to the start of operation showed hyperlactatemia with lactate of 4.5 mmol/l. She was given IV Normal Saline (NS) 0.9% bolus 500ml over 1 hour on top of her fluid maintenance of 500ml/Hour NS 0.9%. Urine output was good throughout operation; 1.5-2 ml/kg/Hr. No episode of hypoxia or hypotension occured during the operation. ABG were repeated every 2 hour which showed similar finding despite multiple fluid boluses. Thus we opted for advance hemodynamic monitoring using stroke volume variation (SVV) and pulse pressure variation (PPV) monitoring using arterial wave form intraoperatively to guide fluid status which persistently showed less than 11% throughout the surgery. The surgery lasted for about 14 hours with highest lactate level went up to 6.2 mmol/l and last recorded 5.8 mmol/l at the end of operation. Estimated blood loss was 1.4 liters and she received 2 pints packed cell transfusion intraoperatively. She was transferred to ICU for continuation of care post operatively whereby she was extubated the following day and discharged well to the ward after 2 days of Intensive Care Unit (ICU) stay. The lactate level took about 20 hours to normalise to less than 2 mmol/l.

Table 1: Blood Investigation result.
Parameters 20/3 24/3 24/3 25/3 25/3
HB 14.9 10.5 11.4 12.2
TWC 8.68 12.37 14.78 18.58
Platelet 406 186 176 143
HCT 44.3 31.6 34.1 35.1
Na 138 140 139 133 129
K 3.71 4.2 4.1 2.8 3.7
Cl 104 111 108 99 100
Urea 2.9 5.1 5.6 2.8 3.5
Creatinine 68 86 70 42 38
PT 12.3 16.4
APTT 32.9 32.8
INR 0.96 1.3
Ca 2.04
Mg 1.89
PO4 0.82
Total Bilirubin 11 13
Direct Bilirubin 2 3
AST 17 12
ALT 29 14
ALP 75 38
ALBUMIN 45 23
TOTAL PROTEIN 81 43
GLOBULIN 36 20

Hb: Hemoglobin; TWC: Total White Count; HCT: Hematocrit; Na: Sodium; K: Potassium; Cl: Chloride; PT: Prothrombin Time; APTT: Activated Partial Protrombin Time; INR: International Normalised Ratio; Ca: Calcium; Mg: Magnesium; PO4: Phosphate; AST: Aspartate Aminotransferase; ALT: Alanine Aminotransferase; ALP: Alkaline Phosphatase.

Table 2: Arterial blood gases result.
Parameters Basel ine 23/3 (0H op) 23/3 (2H op) 23/3 (4H op) 23/3 (6H op) 23/3 (8H op) 23/3 (10H op) 24/3 Post op 1H 24/3 Post op 7H 24/3 Post op 14H 24/3 Post op 20H, 25/3 Post op D2
pH 7.452 7.435 7.387 7.402 7.428 7.468 7.407 7.473 7.49 7.49 7.49
pCO2 28.8 25.6 28.3 45.0 37.0 24.0 31.3 42.2 28.1 26.8 45.6
pO2 150.3 170.9 168.6 160.8 226.2 139.0 373.1 406.4 264 105.4 110.8
HCO3 21.1 18.1 18.1 28.3 25.8 18.3 20.9 31.2 22.4 21.4 35.0
BE -2.0 -5.0 -6.0 +3.3 +1.1 -4.8 -3.4 7.4 -0.3 -1.0 11.0
Lactate 4.5 5.6 6.2 6.0 5.1 5.8 3.7 2.8 2.5 2.1 1.1
Hb 12.4 11.3 11.4 10.5 9.0 6.7 10.6 11.2 11 11.3 11.9

pCO2: Partial pressure of carbon dioxide; pO2: Partial pressure of oxygen; HCO3: bicarbonate; BE: Base Excess; Hb: hemoglobin.

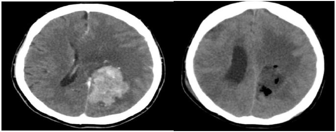
Figure 1: CT brain image pre operative (left) vs post operative (right).

Hyperlactemia is defined as serum lactate more than 2 mmol/l [4]. Not many anaesthetists are aware of WE as one of the contributing factors to hyperlactemia. WE is an aerobic glycolysis whereby the phenomenon predominantly observed in cancer cells where cells ferment glucose to lactic acid using glycolysis even in the presence of oxygen. WE is not reported much in non-haematological malignancies but do reported in other solid organ malignancies [5].

A significant increase in preoperative serum lactate level is seen in glioblastoma multiforme (GBM) patients if compared with meningioma. 65.3% of patients with GBM and 40% in patients with meningioma were reported to have hyperlactemia. They also found that postoperative serum lactate levels were significantly higher in patients with GBM than in patients with meningioma [6]. In our case, patient’s serum lactate only normalise after 48 hours post operation. Regression of hyperlactatemia is the general rule and is a good retrospective argument for WE diagnosis [7]. Her histopathological report came back as Chordoid meningioma (WHO grade II).

In another study which measure WE in brain tumors, 6 cases with brain tumors (4 glioblastoma, 1 oligodendroglioma and 1 meningioma), it was found that all GBMs showed the WE, while the oligodendroglioma and meningioma did not [8]. WE in combination with rapid growth and replication of tumor cells together with impairment of lactate clearance by the liver or kidneys can possibly explain the accumulation of blood lactate and occurrence of metabolic acidosis [9].

Clinician handling neurosurgical cases who encounter hyperlactemia should be aware of different etiologies of hyperlactemia. It should be borne in mind that mechanisms responsible for hyperlactemia are not mutually exclusive and can co-exist. So far, no randomised controlled trial has been done to provide any specific and definitive recommendations management for WE. A rapid diagnostic workup of WE and better understanding of the implication of the underlying malignancy in the presence of metabolic disorder seems to be essential [1]. Clinicians must rule out other causes of high lactate such as presence of shock, hypoxemia, microcirculation failure, organ impairment with poor lactate clearance and also metabolic disorders.

A vigilant aneasthetist needs to ensure adequate fluid status, normotension, normoxia and normothermia during the operation. We would like to highlight the importance of utilising advanced hemodynamic monitoring such as arterial wave form monitoring to measure SVV and PPV in order to guide proper fluid management and avoiding overzealous fluid resuscitation. Both PPV and SVV are useful predictors of cardiac response to fluid loading in which PPV has a greater association with fluid responsiveness than SVV [10]. The presence of other cardiac output monitoring would be much helpful.

Hyperlactemia is a challenging situation for clinicians and can indicate complications of malignancies. Clinicians must be vigilant with high index of suspicion besides having adequate monitoring to guide management. Failure to recognize WE might lead to overzealous fluid resuscitation intraoperatively which might be detrimental to the patient.

Acknowledgements/author contributions: EYSS and JLKF have an equal contribution. EYSS and JLKF wrote the manuscript. All authors read and approved the final manuscript.

Conflict of interest: No conflict of interest was declared by the authors.

  1. Brault C, Zerbib Y, Delette C, Marc J, Gruson B, et al. The Warburg Effect as a Type B Lactic Acidosis in a Patient With Acute Myeloid Leukemia: A Diagnostic Challenge for Clinicians. Frontiers in oncology. 2018; 8: 232.
  2. Gardner AJ, Griffiths J. A case of type B lactic acidosis as a complication of chronic myelomonocytic leukaemia: A case report and review of the literature. J Med Case Rep. 2015; 9: 16–20.
  3. Hoseok I, Je-Yoel Cho. Chapter Three - Lung Cancer Biomarkers, Editor(s): Gregory S. Makowski, Advances in Clinical Chemistry, Elsevier. 2015; 72: 107-170.
  4. Godinjak A, Jusufovic S, Rama A, Iglica A, Zvizdic F, et al. Hyperlactatemia and the Importance of Repeated Lactate Measurements in Critically Ill Patients. Medical archives (Sarajevo, Bosnia and Herzegovina). 2017; 71: 404–407.
  5. Claudino WM, Dias A, Tse W, Sharma VR. Type B lactic acidosis: a rare but life threatening hematologic emergency. A case illustration and brief review. American Journal of Blood Research. 2015; 5: 25-29.
  6. Eleonora Ioannoni, Giuseppe Grande, Alessandro Olivi, Massimo Antonelli, Anselmo Caricato, Nicola Montano. Factors affecting serum lactate in patients with intracranial tumors – A report of our series and review of the literature. 2020; 11: 39.
  7. Udayakumar N, Rajendiran C, Muthuselvan R. A typical presentation of acute myeloid leukemia. J Cancer Res Ther. 2006; 2: 82–4.
  8. Corbin Z, Prado I, Fulbright R, Rothman D, de Graaf R, De Feyter H. NIMG-
    15. DEUTERIUM METABOLIC IMAGING (DMI) MEASURES THE WARBURG EFFECT IN BRAIN TUMORS. Neuro Oncol. 2019; 21: vi164.
  9. De Raes EA, Benoit DD, Depuydt PO, Offner F, Nollet J, et al. Early recognition of malignant lactic acidosis in clinical practice: report on 6 patients with haematological malignancies. Acta Clin Belg. 2012; 67: 347–51.
  10. Rathore A, Singh S, Lamsal R, Taank P, Paul D. Validity of Pulse Pressure Variation (PPV) Compared with Stroke Volume Variation (SVV) in Predicting Fluid Responsiveness. Turk J Anaesthesiol Reanim. 2017; 45: 210-217.
+