Open Access, Volume 10

Biliary stent complications 8 months post placement

Dominic Spalitto

Department of Internal Medicine, University of Kentucky, USA.
Email: dominic.spalitto@gmail.com

Received : Jan 24, 2024, Accepted : Feb 13, 2024
Published : Feb 28, 2024, Archived : www.jclinmedcasereports.com

Biliary stents have become a more widely used tool in the treatment of various biliary tract pathology. They come in a wide variety of styles and have several different indications but are not without complications and do require follow up. Currently there is still debate on the length of time biliary stents should remain in place. Literature has suggested recommendations however when it comes to disease processes there are still concerns regarding length of time for stents however most have suggested removal or replacement in about three months. The case discussed depicts a unique long-term complication following a biliary stent. A young male with no significant medical history other than a biliary stent placed 8 months prior was found to have a biliary stent that had eroded through the duodenum. More research is warranted to further assess post Biliary stent care in order to provide appropriate cost effect, efficient, and timely care.

Endoscopic Retrograde Cholangiopancreatography (ERCP) with Endoscopic Sphincterotomy (EST) and stone extraction is one of the more common interventions to treat choledocholithiasis with a success rate of 80-95%. Biliary stents are used to provide patency of obstructed bile ducts for any causes such as malignancy, benign biliary strictures, or bile duct stones. The longer a stent is in place the higher the risk of occlusion, stent migration or cholangitis. It is recommended that stents be removed within three months. If long term treatment with biliary stents is required, it is recommended that replacement occurs every 3-6 mo.

One study that looked at the outcomes of forgotten biliary stents, it was found that the most common complication was cholangitis. This study looked at 802 patients who had biliary stent placement and among those, 38 patients were considered “follow up loss’’ with a forgotten stent for more than 12 months. These patients presented with various symptoms including abdominal pain, fever, and jaundice with elevated liver or pancreatic enzymes at admission. Twenty-six patients had their forgotten stents removed in 1-2 years and 9 patients had their stents removed in over 2 years. Other complications that occurred included pancreatitis and stent migration. The study concluded that because the average patency duration of plastic biliary stents is about 6-12 months for benign diseases, that replacement or removal occurs in 3-5 months. ERCP with biliary stent placement is still one of the more common management options of obstructive bile ducts with great success rates and low early complications.

Keywords: Biliary stent; Complications; Cholangitis; Duodenal perforation.

Abbreviations: ERCP: Endoscopic Retrograde Cholangiopancreatography; EST: Endoscopic Sphincterotomy; ALA: Alanine Transaminase; AST: Aspartate Aminotransferase; WBC: White Blood Cell; CT: Computed Tomography.

Copy right Statement: Content published in the journal follows Creative Commons Attribution License (http://creativecommons.org/licenses/by/4.0). © Spalitto D (2024)

Journal: Open Journal of Clinical and Medical Case Reports is an international, open access, peer reviewed Journal mainly focused exclusively on the medical and clinical case reports.

Citation: Spalitto D. Biliary stent complications 8 months post placement. Open J Clin Med Case Rep. 2024; 2200.

Biliary stents, typically made of plastic or metal, are used to relieve obstruction in the biliary tree or to repair biliary leaks. Biliary stents are commonly placed via Endoscopic Retrograde Cholangiopancreatography (ERCP) after obstruction is relieved, to prevent pancreatitis, however they are not without complications and have a success rate up to 90% [1-3]. Complications include stent occlusion, stent migration, cholecystitis, pancreatitis, bleeding, perforation, and cholangitis [1]. There is debate on the timing of stent removal or replacement.

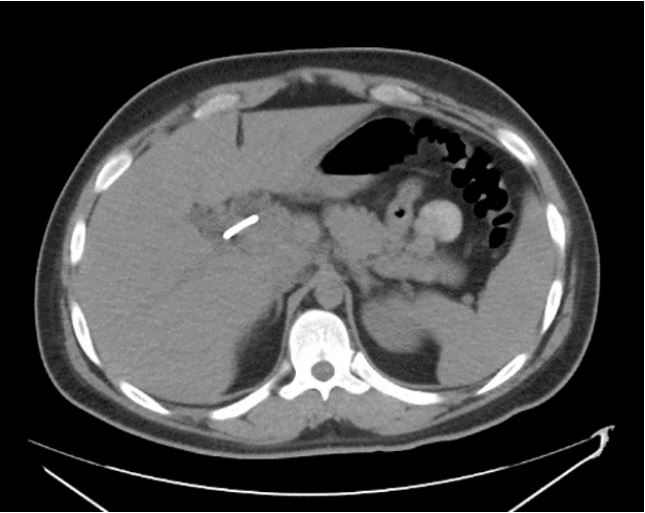
A 21 yo presented to the clinic with a medical history of choledocholithiasis status post biliary stenting. About eight months prior was presented with a 3-week history of dark colored urine, decreased appetite, periodic fevers, generalized weakness and lethargy as well as sharp pain in his abdomen and was diagnosed with choledocholithiasis. At that time, he underwent an Endoscopic Retrograde Cholangiopancreatography (ERCP) with biliary stent placement. Imaging and lab work were completed prior to any intervention. A CT scan of the abdomen revealed a stent in a dilated hepatic duct and common bile duct leading to the duodenum (Figure 3). His bile duct was dilated up to 2 cm. The pancreas was noted to be homogenous in enhancement and pancreatic ducts were not dilated. Lab work suggested possible cholangitis with an elevated White Blood Cell (WBC) count of 22,5000 with left shift, bilirubin was 3.1, AST 83, ALT 75, and alkaline phosphatase of 807 with normal amylase and lipase levels.

The patient was brought in for an emergent repeat ERCP. During the procedure, it was noted that the distal tip of the biliary stent had invaginated into the lateral wall of the duodenum or possibly extraluminal in the retroperitoneal space (Figures 1-3). Patient was then admitted, and general surgery was consulted. He was taken to surgery where it was confirmed that the single pigtail biliary stent had eroded through the duodenum. Procedures performed during surgery included a bile duct exploration, cholecystectomy, choleoducoduodemostomy, and duodenal repair. Patient was treated with intravenous Zosyn while hospitalized. Post operatively the patient responded well with routine post operative care, antibiotics, and fluids.

Figure 1: ERCP image of Biliary stent coming out of ampulla and invaginating into the opposite duodenal wall.

Figure 2: ERCP showing biliary stent invaginating through duodenal wall, opposite Ampulla.

Figure 3: Computed tomography impression: Stent seen in the dilated common hepatic and common bile ducts to the duodenum. The common bile duct (CBD) is normal size. Common hepatic duct and intrahepatic biliary duct are dilated. Pancreatic duct is not dilated.

ERCP with Endoscopic Sphincterotomy (EST) and stone extraction is one of the more common interventions to treat choledocholithiasis with a success rate of 80-95% [1-3]. Biliary stents are used to provide patency of obstructed bile ducts for any causes such as malignancy, benign biliary strictures, or bile duct stones. The more common complications that occur include infection, pancreatitis, and bleeding. Late complications include stent dysfunction and less frequently cholecystitis, duodenal perforation, and bleeding. Intestinal perforation occurs in less than 1% [4]. The longer a stent is in place the higher the risk of occlusion, stent migration or cholangitis. It is recommended that stents be removed within three months. If long term treatment with biliary stents is required, it is recommended that replacement occurs every 3-6 mo.

In one study that looked at the outcomes of “forgotten” biliary stents, it was found that the most common complication was cholangitis. This study looked at 802 patients who had biliary stent placement and among those, 38 patients were considered “follow up loss” with a forgotten stent for more than 12 months [3]. These patients presented with various symptoms including abdominal pain, fever, and jaundice with elevated liver or pancreatic enzymes at admission. Twenty-six patients had their forgotten stents removed in 1-2 years and 9 patients had their stents removed in over 2 years. Other complications that occurred included pancreatitis and stent migration. The study concluded that because the average patency duration of plastic biliary stents is about 6-12 months for benign diseases, that replacement or removal occurs in 3-6 months.

Another study defined delayed biliary stent removal at greater than 3 months [5]. In a case analysis they reviewed 374 patients at one hospital and 19% had delayed stent removal. Of those 18% were hospitalized for stent obstruction, 7% had cholangitis, and 11% were hospitalized for over a week. The suggestion for stent removal or replacement was again seen in another study which looked at 78 past patients but divided the patients into two groups. One group whose stent was removed within three months and a group whose stents were changed at time of symptoms or on demand. The latter group had a significantly higher rate of cholangitis [6].

Nearly 10-15% of stones cannot be removed [7,8]. For most stones mechanical lithotripsy, extracorporeal shock wave lithotripsy, electrohydraulic lithotripsy and laser lithotripsy can be used [9]. There has been much discussion about the optimization of plastic versus metal stents. Most plastic stents are made of polyethylene, polyurethane, or other plastic polymers [8]. They come in all shapes and sizes, the length of which should allow the stent to extend 1-2 cm over the proximal edge of the biliary lesion and 1 cm inside the duodenum. Stents with curved ends could decrease the likelihood of perforation. Metal stents today are mostly made of nitinol. Metal stents have been shown to have longer patency, however similar complications to plastic stents still exist [9]. Metal stents are also significantly more expensive at 15-40 times the cost of plastic stents. With new advancements in medicine, biodegradable stents have become available and could prove more efficient in the future [10].

The patient described above had a plastic single pigtail stent placed in May and in November of the same year (8 months post stent placement was found to have acute cholangitis with duodenal perforation requiring laparoscopic surgical repair. Our case highlights rare findings that occurred in less than one year after original biliary stent placement. It’s been suggested that stents not be removed or replaced in 3-6 months, and if long term treatment is required then a replacement should be done.

ERCP with biliary stent placement is still one of the more common management options of obstructive bile ducts with great success rates and low early complications. The most common late and infrequent complications are cholangitis, bleeding, and intestinal perforation.

  1. Meseeha M, Attia M. Biliary Stenting. StatPearls. Treasure Island (FL): StatPearls Publishing. 2022.
  2. Yusoff A, Kamarul Q, Khalid S, Mokhtar S. Acute Cholangitis Secondary to a Clogged Biliary Stent: A Review on the Cause of Clogging and the Appropriate Time of Replacement. Case Reports Gastroenterology. 2022; 14: 55-61.
  3. Sohn S, Park J, Kim K, Kim T. Complications and management of forgotten long-term biliary stents. World Journal of Gastroenterology. 2017; 23: 622-628.
  4. Issa H, Nahawi M, Bseiso B, Al-Salem A. Migration of a biliary stent causing duodenal perforation and biliary peritonitis. World Journal Gastrointestinal Endoscopy. 2013; 5: 523-6
  5. Kim S, Ohanian E, Lee F, Nam B, Che K, et al. Predictors and outcomes of delayed plastic biliary stent removal following endoscopic retrograde cholangiopancreatography, Scandinavian Journal of Gastroenterology. 2017; 52: 1128-1132.
  6. Di Giorgio P, Manes G, Grimaldi E, Schettino M, Di Giorgio A, et al. Endoscopic plastic stenting for bile duct stones: Stent changing on demand or every 3 months. A prospective comparison study. Endoscopy. 2013; 45: 1014-7.
  7. Yang J, Peng JY, Chen W. Endoscopic biliary stenting for irretrievable common bile duct stones: Indications, advantages, disadvantages, and follow-up results. Surgeon. 2012; 10: 211-7.
  8. Mangiavillano B, Pagano N, Baron T, Arena M, Iabichino G, et al. Biliary and pancreatic stenting: Devices and insertion techniques in therapeutic endoscopic retrograde cholangiopancreatography and endoscopic ultrasonography. World Journal Gastrointestinal Endoscopy. 2016; 8: 143-56.
  9. Wilcox CM, Kim H, Seay T, Varadarajulu S. Choice of plastic or metal stent for patients with jaundice with pancreaticobiliary malignancy using simple clinical tools: A prospective evaluation. BMJ Open Gastroenterology. 2: 14
  10. Siiki A, Vaalavuo Y, Antila A, Ukkonen M, Rinta-Kiikka I, et al. Biodegradable biliary stents preferable to plastic stent therapy in post-cholecystectomy bile leak and avoid second endoscopy. Scandinavian Journal of Gastroenterology. 2018; 53: 1376-1380.
+