Open Access, Volume 10

Use of atherogenic indices in evaluating the potential cardio-protective effect of soybean phytoestrogen-rich extract in 4-vinyl cyclohexane diepoxide-induced menopause in wistar rats

Mathias A Emokpae1*; Henry O Uwumarongie2; Juliana E Olaniyan1

1Department of Medical Laboratory Science, School of Basic Medical Sciences, College of Medical Sciences, University of Benin, Benin City, Nigeria.

2Department of Pharmacognosis, Faculty of Pharmacy, University of Benin, Benin City, Nigeria.

Mathias A Emokpae

Department of Medical Laboratory Science, School of Basic Medical Sciences, College of Medical Sciences, University of Benin, Benin City, Nigeria.
Tel: 0803-451-1182;
Email: mathias.emokpae@uniben.edu

Received : Jan 08, 2024, Accepted : Mar 04, 2024
Published : Mar 11, 2024, Archived : www.jclinmedcasereports.com

Background: Menopause is the cessation of monthly menstrual cycles as a result of the loss of ovarian function and a decline in oestrogen production. Postmenopausal women are susceptible to dyslipidemia and Cardiovascular Disease (CVD). Because of the risk associated with hormone replacement therapy as the conventional treatment for menopausal symptoms, some have advocated the search of alternatives such as phytoestrogen.

Objective: This study seeks to evaluate atherogenic indices in 4-Vinylcyclohexene Diep oxide (VCD)-Induced menopause in wistar Rats given supplementation of vary concentrations of Soybean phytoestrogen-rich extract.

Materials and methods: Preliminary study indicated that peritoneal injection of 80 mg/kg VCD was able to induce menopause in 15 days in wistar rats. Sexually matured VCD -induced menopause wistar rats, were divided into six groups of five rats in each group. Group 1, untreated Wistar rats given Sesame oil (negative control), group 2 received 80 mg/kg of VCD only (Positive control), group 3 received 80 mg/kg VCD + 200 mg/kg phytoestrogen - rich extract, group 4 received 80 mg/kg VCD + 400 mg/kg of phytoestrogen - rich extract, group 5 received 80 mg/kg VCD + 600 mg/kg of phytoestrogen - rich extract and group 6 received 80 mg/kg VCD + 14 µg/100g estrogen for 15 days. Menopause or ovarian failure was confirmed by vaginal cytology, histological examination of ovarian sections and serum estradiol, follicle stimulating hormone and anti Mullerian hormone evaluations. Serum lipid profile; Total Cholesterol (TC), Triglyceride (TG), Low Density Lipoprotein cholesterol (LDLc) and High Density Lipoproteins cholesterol (HDLc) and Malondialdehyde (MDA) were assayed using spectrophotometric method. Castelli risk index I (CRI-I), Castelli index II (CRI-II), Atherogenic Coefficient (AC) and Atherogenic Index of Plasma (AIP) were derived.

Results: Serum TC, LDLc, MDA, atherogenic indices were significantly decreased, while HDLc was significantly increased in VCD-induced postmenopausal rats supplemented with vary concentrations of Soybeans phytoestrogen rich extract. The atherogenic indices were decreased with increasing concentration of supplement, indicating that Soybeans phytoestrogen rich extract may protect against CVD in VCD-induced menopausal Wistar rats.

Keywords: Atherogenic indices; Cardiovascular disease; Lipid; Menopause.

Copy right Statement: Content published in the journal follows Creative Commons Attribution License (http://creativecommons.org/licenses/by/4.0). © Emokpae MA (2024)

Journal: Open Journal of Clinical and Medical Case Reports is an international, open access, peer reviewed Journal mainly focused exclusively on the medical and clinical case reports.

Citation: Emokpae MA, Uwumarongie HO, Olaniyan JE. Use of atherogenic indices in evaluating the potential cardio-protective effect of soybean phytoestrogen-rich extract in 4-vinyl cyclohexane diepoxide-induced menopause in wistar rats. Open J Clin Med Case Rep. 2024; 2206.

Menopause is said to occur when there is a cessation of monthly menstrual cycles due to the loss of ovarian function and a decline in estrogen synthesis. Menopause is confirmed after 12 months of amenorrhea [1]. It is a natural decline in reproductive hormones when a woman reaches her 40s or 50s. At this age, the ovarian follicular reserve and indeed estrogen biosynthesis is markedly reduced [2]. The decline in estrogen during and after menopause leads to structural, physiological, and biochemical alterations that change the general health status of the woman [3]. Estrogen helps to maintain the health of bones as well as growth and function of multiple organs and tissues. Lack of estrogen has an impact not only on the reproductive system but also on the other organs and systems in the body and women suffering from it can end up with multiple menopause-associated ill-health including cardiovascular diseases, oxidative stress, and other menopause-associated symptoms.

It is well known that estrogen has an anti-atherogenic effect and is capable of protecting premenopausal women against coronary artery disease [4]. Many risk factors that contribute to cardiovascular disease are accelerated following the menopausal transition, leading to an elevated risk for myocardial infarction and cerebrovascular disease. Some authors have reported that post-menopausal women have more abnormal lipid profiles than before menopause [2].

The traditional lipid profile; Total Cholesterol (TC), Triglycerides (TG), High-Density Lipoprotein cholesterol (HDLc), and Low-Density Lipoprotein cholesterol (LDLc) is a routine biochemical test often utilized in predicting, diagnosing, and monitoring treatment of lipid-related disorders including atherosclerosis. However, atherogenic indices such as Castelli Risk indices (CRI-I and CRI-II), Atherogenic Coefficient (AC), and Atherogenic Index of Plasma (AIP) have been proposed, and some authors have advocated that these indices better predict the risk for CVD and ischemic stroke than traditional lipid profile parameters [5-7].

The chemical 4-Vinyl Cyclohexene Diep Oxide (VCD) is used to induce selective destruction of ovarian small pre-antral (primordial and primary) follicles in Wistar rats and mice. It causes acceleration of the natural, apoptotic process of atresia to induce gradual ovarian failure and loss of estrogen production. Studies indicate that in vivo exposure of rats to VCD particularly affects primordial and primary (small preantral) follicles. In particular, VCD directly interacts with the oocyte-associated c-kit receptor to inhibit its auto-phosphorylation, and causing pre-matured menopause. This model is believed to preserve the vital «perimenopause» transitional period as well as the androgen-secreting capacity of residual ovarian tissue, a replica of menopausal women [8-10].

The main treatment for menopausal symptoms is Hormone Replacement Therapy (HRT), which was designed to replace the hormones that are at low levels. However, HRT is not only a complicated clinical issue that requires an in-depth risk and benefit assessment, it is associated with breast cancer and CVDs such as stroke and Venous Thromboembolism (VTE) [11,12], the elevation of salivary flow, and alter the composition of saliva [13]. Therefore, alternative products such as dietary supplements containing phytoestrogen are suggested not only to ease the transition from perimenopause to post-menopause, but to ease post-menopausal symptoms [14].

It is hypothesized that, if these women take natural, accessible, and affordable compounds available, such as phytoestrogen, present in soyabeans, there is the possibility of preventing these diseases from occurring, and these women will live quality lives. Hence, the need to conduct this study to evaluate atherogenic indices in VCD-induced menopause in Wistar Rats given a supplementation of Soyabean phytoestrogen-rich extract.

Ethical consideration

The approval for the study was obtained from the Animal Studies Ethic Review Committee of the Faculty of Pharmacy, Department of Pharmacology and Toxicology, University of Benin, Benin City.

Preliminary study was conducted on sexually matured female Wistar rats (age 10 weeks). The rats were weighed, divided into 4 groups of three rats each. Group 1 to group 4 were given daily intraperitoneal injections of VCD (V3630; Sigma-Aldrich, St. Louis, MO) at a dose of 0 mg/kg, 40 mg/kg, 80 mg/kg and 160 mg/kg respectively for 15 consecutive days. Rats in group 1 received Sesame oil, the solvent used for VCD, and served as controls as previously described [8]. At the end of the 15-day duration of injection, the estrous cycles were kept track of using vaginal cytology to ascertain when cycling stopped, which is an indication of ovarian failure. Wistar rats were observed to be acyclic after 15 consecutive days in continuous diestrus. Furthermore, blood was collected under chloroform anesthesia for estradiol, follicle stimulating hormone and anti Mullerian hormone evaluations. The ovaries were collected and processed for histomorphological examination by counting the follicles as previously described [9]. These were done to confirm the onset of menopause in the rats.

Experimental design

Animal model of chemically - induced menopause using VCD in Wistar rats were divided into six (6) groups of five (5) animals in each group and induced intraperitoneally with 80 mg/kg of VCD, obtained during the preliminary study.

Group 1 Untreated Wistar rats received Sesame oil (negative control).

Group 2 received 80 mg/kg VCD only (positive control).

Group 3 received 80 mg/kg VCD + 200 mg/kg Soyabeans phytoestrogen - rich extract.

Group 4 received 80 mg/kg VCD + 400 mg/kg of Soyabeans phytoestrogen - rich extract.

Group 5 was given 80 mg/kg VCD + 600 mg/kg of Soyabeans phytoestrogen - rich extract.

Group 6 was given 80 mg/kg VCD + 14 µg/100g estrogen.

Preparation of Soyabean flour

The soyabeans used for this study were authenticated by a plant taxonomist at the Department of Plant Biology and Biotechnology (PBB) laboratory, University of Benin, Benin City, and was given a voucher number (UBH-G628). The Soyabean seeds were carefully picked and separated from debris, and rinse in water. Once rinsed, the clean seeds were poured into a big clean bowl and soak overnight. The bean chaffs were removed by washing and water drained. The Soyabeans were dried in the sun. Thereafter, the seeds were poured into a frying pan placed over medium heat and allowed to heat up, the soyabeans stirred until they turn brown in colour but not burnt. Once brown, the seeds were removed immediately and blended with a chicken blender. A quick transfer from a hot frying pan into the blender ensures the seeds grind smoothly to powder. The powder was then stored in an air tight container for use within six months.

Extraction of the Soyabean flour to obtain the phytoestrogen - rich extract

The method of Cvejic et al. [15] was adapted with modification. A known quantity of the soyabean flour was loaded into a thimble and placed in the soxhlet extractor chamber until it was defatted using hexane, in the soxhlet extractor. After defatting, the powder was dried and then re-extracted with methanol, using the soxhlet extractor to obtain the methanol extract (phytoestrogen - rich extract). The extract was concentrated using a rotary evaporator and then dried completely using a thermostatically controlled hot air oven.

Biochemical analyses

Enzyme-Linked Immunosorbent Assay (ELISA) was used to determine the levels of serum FSH, Estradiol, and Anti-mullerian hormone, while lipid profile (TC, TG, HDLc, LDLc) were assayed by spectrophotometric method using reagents supplied by Calbiotech Diagnostic Products Monobind Inc. Lake Forest, USA and Randox Laboratories Ltd, UK respectively. The Freidewaid formula was used to determine the plasma LDLc (Freidewaid et al. 1972). Atherogenic indices (CRI-I, CRI-II, AC and AIP) were calculated.

Statistical analysis

The data were statistically analysed using SPSS Software (IBM) version 23.0. The results obtained were expressed as Mean ± Standard Error of Mean (SEM). The differences between the groups were determined by pair Student’s T-test and one-way ANOVA. A P-value less than 0.05 was considered statistically significant.

In the VCD-induced menopause rats, serum estradiol declined in group 1 given 40 mg/kg VCD to undetectable level in groups 2 and 3. The differences were statistically significant (p<0.001) when compared with control (group 4). Similarly, serum AMH decreased in group 1 to undetectable level in groups 2 and 3. There was insignificant different in the mean level of serum FSH among Wistar rats given 40 mg/kg, 80 mg/kg and 160 mg/kg VCD. Menopause was considered to occur in group 2 rats given 80 mg/kg VCD, since estradiol and AMH were undetected and was also confirmed by vaginal cytology and histological examination (Table 1).

Table 2 shows the lipid profile and MDA concentrations among VCD-induced menopause rats and supplemented with different concentrations of soyabeans phytoestrogen-rich extract. Serum TC, LDLc and MDA concentrations were significantly increased (p<0.05) in group 2 (positive control) compared with group 1 (negative control) rats, while HDLc was significantly decreased (p<0.001) among group 2 rats when compared with group 1 rats. Serum TC, LDLc and MDA levels were significantly decreased among VCD-induced menopause rats supplemented with different concentrations of soyabeans phytoestrogen rich extracts compared with positive control (group 2) and rats supplemented with 14 µg/kg Estrogen (group 6). Conversely, HDLc levels were significantly increased in group 3, 4 and 5 VCD-induced menopause rats compared with positive control and group 6 rats treated with 14 µg/kg Estrogen.

Table 3 shows the calculated atherogenic indices from the lipid profile parameters among the various groups. The atherogenic indices were significantly higher among the positive control rats (group 2) than negative control (group 1) rats (p<0.001). Overall, the atherogenic indices decreased with increasing concentrations of soyabeans phytoestrogen-rich extract. The AIP of groups 3, 4 and 5 rats were significantly lower than group 6 treated with 14 µg/kg Estrogen.

Table 1: Levels of some reproductive hormones in 4-vinylcyclohexane diepoxide –induced menopause in female wistar rats.
Parameters Group 1-40 mg/kg Group 2-80 mg/kg Group 3-160 mg/kg Group 4-0 mg/kg F P-value
Estradiol (pg/ml) 0.40±0.19a 0.00±0.00a 0.00±0.00a 121.26±32.65b 13.76 0.001
FSH (mIU/ml 8.36±1.19a 12.32±2.50a 13.05±5.42a 13.51±1.38a 0.56 0.644
AMH (ng/ml) 0.02±0.01a 0.00±0.00a 0.00±0.00a 2.01±0.75b 37.14 0.001

Values are expressed in mean ± SEM. The value with different superscript indicate significant difference from each other (p<0.05) while value with same superscript are not statistically difference from each other (p>0.05). Group 1 - 40 mg/kg VCD, Group 2 - 80 mg/kg VCD, Group 3 - 160 mg/kg VCD, Group 4 - Control, FSH- Follicle Stimulating Hormone, AMH- Anti-Mullerian Hormone.

Table 2: Levels of lipid profile and malondialdehyde in female wistar rats induced with 4-Vinylcyclohexane Diepoxide (VCD) treated with different concentrations of phytoestrogen-rich extracts.
Parameters Group 1 Group 2 Group 3 Group 4 Group 5 Group 6 F P-value
TC (mmol/l) 2.57±0.06 2.87±0.04 2.31±0.21a 2.43±0.06ab 2.50±0.12b 2.67±0.10b 9.95 0.001
TG (mmol/l) 1.74±0.02 1.78±0.10 1.25±0.20a 1.10±0.07a 1.08±0.06a 1.42±0.15a 7.49 0.001
HDL (mmol/l) 1.50±0.02 0.98±0.10 1.18±0.12a 1.25±0.06a 1.32±0.04b 1.30±0.02b 7.18 0.001
LDL (mmol/l) 0.28±0.01 0.38±0.01 0.22±0.05 0.21±0.01 0.22±0.04 0.28±0.03 3.89 0.010
MDA (ng/ml) 235.34±50.6 845.08±62.0 635.21±60.5a 570.05±40.2a 296.50±30.6a 298.0±40.4a 16.86 0.001

Values are expressed in mean ± SEM. Group 1 - control (untreated); Group 2 - Positive control (given 80 mg/kg VCD only); Group 3 - given 80 mg/kg VCD + 200 mg/kg Soyabean Phytoestrogen extract; Group 4-given 80 mg/kg VCD+400 mg/kg Soybean Phytoestrogen extract; Group 5 - 80 mg/kg VCD + 600 mg/kg Soybean Phytoestrogen extract; Group 6 - given 80 mg VCD + 14 μg Estrogen; TC- Total Cholesterol, TG- Triglyceride, HDLc- High Density Lipoprotein Cholesterol, LDLc- Low Density Lipoprotein cholesterol, MDA- Malondialdehyde. The value with different superscript indicate significant difference from each other (p<0.05) while value with same superscript are not statistically difference from each other (p>0.05).

Table 3: Atherogenic indices in female wistar rats induced with 4-Vinylcyclohexane Diepoxide (VCD) treated with diffe- rent concentrations of phytoestrogen extracts.
Variables Group 1 Group 2 Group 3 Group 4 Group 5 Group 6
CRI-I 1.70±0.02 2.91±0.02 1.95±0.02a 1.93±0.02a 1.88±0.01a 2.05±0.02a
CRI-II 0.18±0.02 0.38±0.02 0.18±0.01a 0.16±0.01a 0.16±0.01a 0.21±0.02a
AC 0.71±0.01 1.92±0.02 0.95±0.01a 0.94±0.01a 0.88±0.01a 1.05±0.02a
AIP 0.06±0.01 0.26±0.01 0.03±0.01a -0.05±0.01a -0.08±0.01a 0.03±0.01a

Values are expressed in mean ± SEM. Group 1 - control (untreated); Group 2- Positive control (given 80 mg/kg VCD only); Group 3 -given 80 mg/kg VCD + 200 mg/kg Soyabean Phytoestrogen extract; Group 4 -given 80 mg/kg VCD + 400 mg/kg Soybean Phytoestrogen extract; Group 5 - 80 mg/kg VCD + 600 mg/kg Soybean Phytoestrogen extract; Group 6 - given 80 mg VCD + 14 μg Estrogen; CRI-I=Castelli’s Risk index 1; CRI-II=Castelli’s Risk index II; AC=Atherogenic Coefficient; AIP= Atherogenic Index of Plasma. The value with different superscripts indicate significant difference from each other (p<0.05) while value with same superscript are not statistically difference from each other (p>0.05).

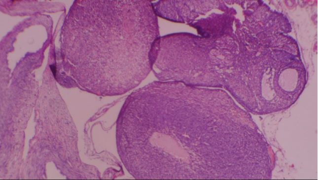
Figure 1: Photomicrographs of Ovary. Control. Composed of: A. coelomic epithelium, B. vascular sized stroma and follicles in different stages of maturation: C. graffian, D. secondary and E. primary (H&E x40).

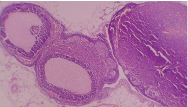
Figure 2: Photomicrograph of ovary of Wistar rat given 40 mg/kg VCD only showing: A. graffian follicle, B. extruded follicle, C. active stromal congestion and D. primordial follicles (H&E x40).

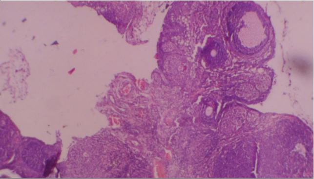
Figure 3: Photomicrograph of ovary of rat given 80 mg/kg VCD only showing: A. extruded follicles, B. active stroma congestion and C. stromal luteinization (H&E x40).

Figure 4: Photomicrograph of ovary of rat given 160 mg VCD only showing: A. active stromal congestion, B. stromal luteinization, C. degenerating follicles and D. tertiary follicle (H&E x40).

Studies have indicated that women are about 10 years older than men when they first present with atherosclerotic cardiovascular disease, and this is associated with the decline or complete absence of estrogen which is needed for the modulation of cardiovascular functions and metabolism [4,16]. Several risk factors of CVD are modified following the menopausal transition, leading to a significant elevation in the risk for myocardial infarction and cerebrovascular disease. It is now believed that estrogen loss as a result of natural transition to menopause obscures or underscores cardiac symptoms that are atypical compared with men [2]. Therefore, majority of the menopausal women may not be able to associate their symptoms with CVD.

Dyslipidemia is an important surrogate marker of increased cardiovascular risks among postmenopausal women [4]. Despite the availability of many lipid-lowering drugs, cutback in cardiovascular risk and avoidance of atherosclerosis in postmenopausal women has been a daunting task [17]. Evidence exists to suggest clearly that cardiovascular disease is the major cause of morbidity and mortality among postmenopausal women in developed countries [18]. It is of public health importance to search for a nutritional-based alternative that will promote healthy aging and improve the health and well-being of menopausal women. Also, the prevalence of CVD is on the increase among Nigerians irrespective of the lower lipid levels when compared with the Caucasians. In a study of some patients with CVD in Nigeria, no significant differences in the lipid levels between the subjects and controls were observed, but the stroke patients were differentiated from the control subjects by the use of atherogenic indices [19].

In this study, there were statistically significant increases in TC, LDLc, MDA, and the calculated atherogenic indices among VCD-induced menopause rats when compared to negative controls. The concentrations of the lipoprotein fractions and the calculated atherogenic indices decreased with increasing concentrations of soyabean phytoestrogen-rich supplementation. The AIP was even lower among VCD-induced menopause rats supplemented with soyabean phytoestrogen-rich extract than the group treated with 14 µg/kg estrogen. Specifically, the statistically significant decrease in the HDLc among VCD-induced menopausal rats was ameliorated or increased in the soyabean phytoestrogen-rich extract supplementation groups. The observed elevated lipid profile parameters and atherogenic indices among menopausal women aligned with previous studies [2,20-22]. As stated in the lipid theory of atherosclerosis, elevated levels of lipid peroxidation and the oxidation of LDLc activate the initiation and progression of atherosclerosis. The circulating LDLc is the main transporter of cholesterol to target cells in the body. To initiate the atherosclerotic process, modified lipoproteins amass in the intima to activate the endothelium. Furthermore, the lower expression of endothelial NO synthase and superoxide dismutase, which maintain the effective barrier and lowering oxidative stress, influences endothelial barrier integrity and dictates the retaining of atherogenic LDLc. The activation of nuclear factor kappa B encourages the synthesis of cytokines which also exacerbate CVD [7].

CRI-I and CRI-II are closely associated with CV risk in both males and females [23]. Subjects with CRI-I≥4.5 had a higher CV risk according to the Framingham Study [14]. Summarily, CV risk is higher as the ratios increase which is an indication of an «imbalance between the cholesterol carried by atherogenic (numerator) and protective (denominator) lipoproteins for an increase in the proatherogenic part expressed in the numerator, a decrease in the anti-atherosclerotic component reported in the denominator, or both trends» [7]. In this study, both CRI-I and CRI-II were significantly decreased among VCD-induced menopause rats supplemented with soyabean phytoestrogen-rich extract compared with positive control.

The index AIP is not only a reliable predictor of cardiometabolic risk, indicating the link between protective and atherogenic lipoproteins, but also constitutes a strong predictor of atherosclerosis and Coronary Artery Disease (CAD) [24]. Specifically, AIP values <0.11 are associated with low CV risk, but recent evidence has revealed that AIP is fast emerging as a very important and reliable predictor of cardiometabolic risk in the general population, increased risk of CVD in postmenopausal women and an independent risk factor for developing CAD in patients undergoing coronary angiography [7]. Among VCDinduced menopause rats supplemented with soyabean phytoestrogen-rich extract, the AIP values were significantly lower than Positive control. The AIP decreased with increasing concentrations of Soyabean phytoestrogen-rich extract.

The Atherogenic Coefficient (AC) is calculated by the ratio of non-HDL cholesterol to HDL cholesterol, which is a measure of cholesterol in LDLc and very LDL fractions with regards to HDLc. An increased AC value reflects an increased risk of developing cardiovascular diseases. This study showed that values of AC among VCD-induced menopause rats supplemented with phytoestrogen-rich extract were significantly lower than positive control which is an indication of decreased risk of developing CVD in groups supplemented with Soyabean phytoestrogen-rich extract.

Because of the demonstrated risks of conventional HRT in the treatment of menopausal symptoms, some authors have advocated the search for alternatives [25]. Soyabean phytoestrogen-rich extracts are naturally and plant-based estrogens that may have beneficial effects on the cardiovascular system especially in menopausal women [26], and may also ameliorate common illnesses associated with menopause. Evidence suggests that phytoestrogens have advantages over conventional estrogens in that they may lower LDLc without inducing hypertriglyceridemia [25]. The findings of the present study aligned with this observation, that Soyabean phytoestrogens have a positive metabolic effect on serum lipids as reported among postmenopausal women [26]. The present study was extended to determine the effects of soyabean phytoestrogen-rich extract to assess cardiovascular risk by calculating the atherogenic indices of VCD-induced menopause in Wistar rats. Soyabean phytoestrogen may improve vascular function without exacerbating pathological angiogenesis. So far, there is no evidence to the contrary to warrant an unqualified recommendation about the use of phytoestrogens, but available data revealed that Soyabean phytoestrogens may be a good alternative therapy for postmenopausal women at risk for CVD [26]. The efficacy of phytoestrogen was explained by their specific binding to the estrogen receptor. Phytoestrogens bind weakly to ERα receptors and more avidly to ERβ receptors, and also have organ-specific estrogenic and anti-estrogenic effects. Phytoestrogens act as partial agonists in some tissues and as antagonists in others. Whereas ERβ receptors are found in the vascular walls and bone cells, ERα receptors are located in the endometrium and breast tissue. This differential location of ERα and ERβ enables women receiving phytoestrogens supplementation to experience combine benefits of (1) an elevated HDL cholesterol and (2) a down-regulation of ERα receptor as a result of phytoestrogens binding to ERβ receptors [27,28]. Although phytoestrogens are structurally and functionally identical to 17β-estradiol, they bind to the estrogen receptor at low levels compared with endogenous estrogen. Despite this limitation, they are still capable of producing estrogenic effects [26,29]. Soyabean is a preferred food additive because it does not contain cholesterol and lactose but is rich in vegetable proteins, unsaturated fats, and fiber. It also contains a large quantity of isoflavones such as daidzein and genistein.

Even though some authors have suggested that dietary supplements should contain at least 40 mg of phytoestrogens per day, others said that it is not known whether changes in dosages of specific phytoestrogens will cause diverse outcomes and should be investigated [26]. Data presented in this study indicated that atherogenic indices decreased with increasing concentrations of phytoestrogen supplements, suggesting that the higher the concentration the more atherogenic effects. Evidence indicates that Soyabean phytoestrogen-rich extract supplementation is safe without side effects, and can be taken for a couple of months [26].

In this study, Soyabeans phytoestrogen-rich extract supplementation in VCD-induced menopause Wistar rats was observed to lower TC, LDLc, and MDA and increase the concentration of HDLc. The atherogenic indices decreased with increasing concentration of supplement, indicating that Soyabeans phytoestrogen-rich extract may protect against CVD in VCD-induced menopause in Wistar rats.

Acknowledgments: The authors appreciate the contributions of all Staff of the Departments of Pharmacognosis and Medical laboratory science of the University of Benin for contributions towards the completion of the study

Source of funding: Tetfund IBR batch 18/40.

Competing interests: The authors declare that there is no conflict of interest that would prejudice the impartiality of this scientific work.

Authors’ contribution: All authors of this study have a complete contribution for data collection, data analyses and manuscript writing.

  1. Butler L, Santoro N. The Reproductive Endocrinology of its menopausal transition. Steroids. 2011; 76(7): 627-635.
  2. Nwagha UI, Ikekpeazu EJ, Ejezie FE, Neboh EE, Maduka IC. Atherogenic index of plasma as useful predictor of cardiovascular risk among postmenopausal women in Enugu, Nigeria. Afri Health Scis. 2010; 10(3): 248-252.
  3. Peacock K, Ketvertis KM. Menopause StatPearls. National Center for Biotechnology Information. 2022. www.ncbi.nlm.nih.gov/books/NBK507826
  4. Folahan JT, Olorundare OE, Ajayi AM, Oyewopo AO, Soyemi SS, et al. Oxidized dietary lipids induce vascular inflammation and atherogenesis in postmenopausal rats: Estradiol and selected antihyperlipidemic drugs restore vascular health in vivo. Lipids Health Dis. 2023; 22: 107.
  5. Barzi F, Patel A, Woodward M, Lawes CM, et al. Asia Pacific Cohort Studies Collaboration. A comparison of lipid variables as predictors of cardiovascular disease in the Asia Pacific region. Ann. Epidemiol. 2005; 15: 405-413.
  6. Fernández-Macías JC, Ochoa-Martínez AC, Varela-Silva JA, Pérez-Maldonado IN. Atherogenic Index of Plasma: Novel Predictive Biomarker for Cardiovascular Illnesses. Arch. Med. Res. 2019; 50: 285-294.
  7. Gaggini M, Gorini F, Vassalle C. Lipids in Atherosclerosis: Pathophysiology and the Role of Calculated Lipid Indices in Assessing Cardiovascular Risk in Patients with Hyperlipidemia. Int. J. Mol. Sci. 2023; 24: 75.
  8. Kappeler CJ, Hoyer PB. 4-vinylcyclohexene diepoxide: A model chemical for ovotoxicity. Syst Biol Reprod Med. 2012; 58(1): 57-62.
  9. Konhilas JP, Sanchez JN, Regan JA, Constantopoulos E, Lopez-Pier M, et al. Using 4-vinylcyclohexene diepoxide as a model of menopause for cardiovascular disease. Am J Physiol Heart Circ Physiol. 2020; 318: H1461-H1473.
  10. Zucon-Bacelar AC, Momesso NR, Pederro FHM, Gonçalves A, Ervolino E, et al. Aged and induced-premature ovarian failure mouse models affect diestrus profile and ovarian features. PLoS One. 2023; 18(12): e0284887.
  11. Warren, M.P and Halpert, S. Hormone replacement therapy: controversies, pros and cons. Best Pract Res Clin Endocrinol Metab. 2004; 18(3): 317-332.
  12. Ebengho MI, Obazelu PA, Emokpae MA. Alterations in Haematological and Clotting Profile of Post-Menopausal Women in Benin City, Nigeria. Ann Health Res. 2022; 8(1): 40-48.
  13. Eliasson L, Carlen A, Laine M, Birkhed D. Minor gland and whole saliva in postmenopausal women using a low potency estrogen (estriol). Arch Oral Biol. 2003; 48: 511-517.
  14. Liu H, Deng X, Peng Y, Zeng Q, Song Z et al. Meta-Analysis of Serum Non-High-Density Lipoprotein Cholesterol and Risk of Coronary Heart Disease in the General Population. Clin. Chim. Acta. 2017; 471: 23-28.
  15. Cvejic J, Malenčić D, Tepavcevicm V, Poša M, Miladinovicm J. Determination of Phytoestrogen Composition in Soybean Cultivars in Serbia. Natural Prod Communications, 2009; 4(8): 1069-1074.
  16. Somani YB, Pawelczyk JA, De Souza MJ, Kris-Etherton PM, Proctor DN. Aging women and their endothelium: probing the relative role of estrogen on vasodilator function. Am J Physiol-Heart and Circulatory Physiol, 2019; 317(2): H395-404.
  17. Chong CL, Othman F, Hussan F. Vascular protective effects of Morinda citrifolia leaf extract on postmenopausal rats fed with thermoxidized palm oil diet: evidence at microscopic level. Int J Vascular Med 2018; 2018.
  18. Anand SS, Islam S, Rosengren A, Franzosi MG, Steyn K, et al. Risk factors for myocardial infarction in women and men: insights from the INTERHEART study. Eur Heart J. 2008; 29(7): 932-940.
  19. Glew RH, Okolie H, Crossey M, Suberu O, Trujillo M, et al. Serum lipid profiles and homocysteine levels in adults with stroke or myocardial infarction in the town of Gombe in Northern Nigeria. J Health Population Nutri. 2004; 22: 341-347.
  20. Guo Q, Zhou S, Feng X, Yang J, Qiao J, et al. The sensibility of the new blood lipid indicator-Atherogenic Index of Plasma (AIP) in menopausal women with coronary artery disease. Lipids Health Dis. 2020; 19: 27.
  21. Elmugadam A, Elfadil GA, Hamad AI, El Shikieri AB, Aledrissy M, et al. Atherogenic Index of Plasma and Anthropometric Measurements among Osteoporotic Postmenopausal Sudanese Women: Possible Risk for Cardiovascular Disease. J Aging Res, 2022; 2022: 1- 8.
  22. Mutmainnah A, Thaslifa AR. Atherogenic Index Profiles as Predictor of Cardiovascular Risk in Premenopausal and Menopausal Women. J Health Sci. 2022; 15 (02): 160-165.
  23. Castelli WP, Abbott RD, McNamara PM. Summary Estimates of Cholesterol Used to Predict Coronary Heart Disease. Circulation 1983, 67, 730-734.
  24. Li YW, Kao TW, Chang PK, Chen WL et al. Atherogenic index of plasma as predictors for metabolic syndrome, hy-pertension and diabetes mellitus in Taiwan citizens: A 9-year longitudinal study. Sci. Rep. 2021; 11: 9900.
  25. Lissin LW, Cooke JP. Phytoestrogens and cardiovascular health. J Am Coll Cardiol. 2000; 35(6): 1403-1410.
  26. Terzic M, Micic J, Dotlic J, Maricic S, Mihailovic T et al. Impact of Phytoestrogens on Serum Lipids in Postmenopausal Women. Geburtshilfe Frauenheilkd. 2012; 72(6): 527-531.
  27. Jefferson A. Dietary phytoestrogens - a role in Womenʼs health. Nutr Food Sci. 2003; 33: 16-22.
  28. McCarty MF. Isoflavones made simple - genisteinʼs agonist activity for the beta-type estrogen receptor mediates their health benefits. Med Hypotheses. 2006; 66: 1093-1114.
  29. Ascenzi P, Bocedi A, Marino M. Structure-function relationship of estrogen receptor alpha and beta: impact on human health. Mol Aspects Med. 2006; 27: 299-402.
+