Open Access, Volume 10

One patient, two dermatosis

Khaoula Trimeche1*; Maha Lahouel1; Nour El Imen Ouni1; Badreddine Sriha2; Nadia Ghariani Fetoui1; Sarra Saad1; Mohamed Ben Rjeb1; Amina Aounallah1; Mohamed Denguezli1

1Dermatology Department, Farhat Hached University Hospital, Sousse, Tunisia.

2Anatomopathology Department, Farhat Hached University Hospital, Sousse, Tunisia.

Trimeche Khaoula

Dermatology Department, Farhat Hached University Hospital, Sousse, Tunisia.
Tel: +216-56109581;
Email: khaoula.trimeche@gmail.com

Received : Mar 07, 2024, Accepted : Apr 08, 2024
Published : Apr 10, 2024, Archived : www.jclinmedcasereports.com

The coexistence of psoriasis and bullous pemphigoid is well-documented in the literature. However, the association of psoriasis with IgA pemphigus, is rarely reported in the literature. To the best of our knowledge this is the second case describing the association of pustular psoriasis and IgA pemphigus.

Keywords: Bullous skin disease; Pemphigus; Pustular psoriasis; Diagnosis.

Copy right Statement: Content published in the journal follows Creative Commons Attribution License (http://creativecommons.org/licenses/by/4.0). © Trimeche K (2024)

Journal: Open Journal of Clinical and Medical Case Reports is an international, open access, peer reviewed Journal mainly focused exclusively on the medical and clinical case reports.

Citation: Trimeche K, Lahouel M, Ouni NEI, Sriha B, Fetoui NG, Saad S, Ben Rjeb M, et al. One patient, two dermatosis. Open J Clin Med Case Rep. 2024; 2224.

Psoriasis and pemphigus are well-characterized chronic skin disorders. The coexistence of psoriasis and bullous pemphigoid is well-documented in the literature. However, its association with pemphigus is rare. We report a case describing an exceptional association of pustular psoriasis and IgA pemphigus.

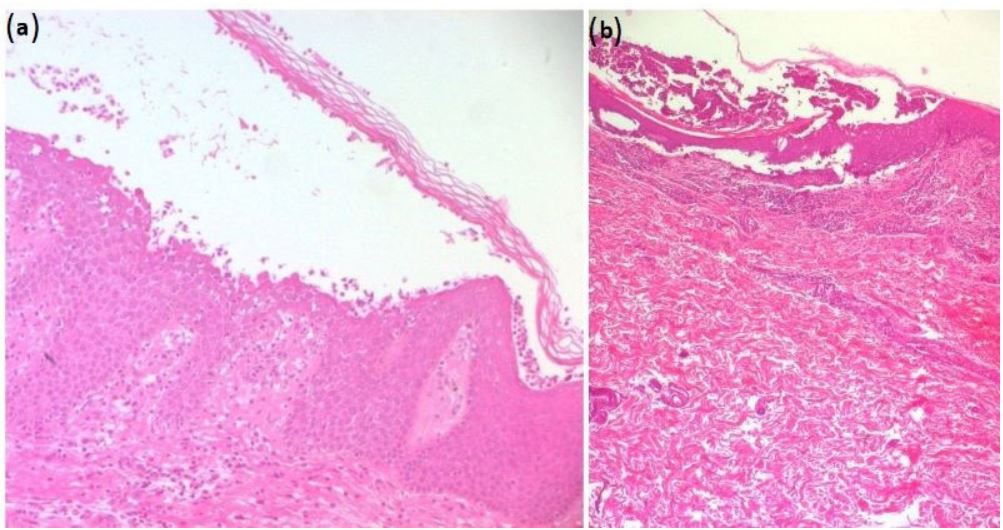
A 75-year-old man with a history of cardiac ischemic disease and chronic inactive hepatitis B, presented with an asymptomatic cutaneous eruption. The patient had a history of pustular psoriasis, diagnosed 9 years ago, based on clinical and histological findings. He had multiple flare ups and received numerous treatments including topical steroids, acitretin, cyclosporin, and methotrexate. Recently, he reported the appearance of blisters few days after discontinuing his treatment. Examination revealed multiple erythematous and squamous annular plaques with peripheral pin-sized pustules and desquamation localized on the trunk and thighs (Figure 1a). We also noted few flaccid bullous lesions with a half-half blister appearance. These lesions involved the forearms and the back (Figure 1b). Oral and genital mucosa were spared. Laboratory tests were within normal limits. We performed a skin biopsy on the border of annular lesions, which revealed a subcorneal pustule, containing numerous altered neutrophils, psoriasiform hyperplasia with parakeratosis and congestive blood vessels in the dermal papilla (Figure 2a). These were typical features of pustular psoriasis. Histologic examination of a recent blister showed intraepidermal bullae with a subcorneal cleavage, discrete acantholyses, and numerous neutrophils and eosinophils (Figure 2b). Direct immunofluorescence showed a discrete IgA deposit in the superficial layers of the epidermis. These findings were compatible with IgA pemphigus. Based on clinical and histopathological findings, we made the diagnosis of annular pustular psoriasis associated with subcorneal pustular dermatosis type of IgA pemphigus. The patient was treated with dapsone at the dose of 100 mg/day with a resolution of bullous lesions. There was no flare up at two month follow up.

Figure 1: (a) Annular erythematous plaques with peripheral pustules on the thighs. (b) Bullous lesions showing purulent content and a half and half blister appearance on the back.

Figure 2: (a) A subcorneal pustule containing numerous altered neutrophils with psoriasiform hyperplasia (HE x200), (b) An intraepidermal subcorneal cleavage, a subtle acantholysis, and an inflammatory infiltrate rich in neutrophils and eosinophils (HE x100).

The association of psoriasis with IgA pemphigus, is rarely reported in the literature [1]. A case of annular pustular psoriasis developing in a patient with a history of pemphigus foliaceus was previously reported [2]. To the best of our knowledge this is the second case describing the association of pustular psoriasis and IgA pemphigus [3]. The exact mechanism of this association is yet to be determined. A few hypotheses have been proposed: first, the inflammation process caused by an inflammatory disease could stimulate the development of another. This may involve exposure to previously hidden epidermal antigens, caused by tissue damage [4,5]. Furthermore, elevated levels of plasminogen activators observed in psoriasis, could promote acantholysis [6]. A common genetic background has been also suggested since HLA DRB1 alleles have been identified in both pemphigus and psoriasis [4]. Another possible explanation is the implication of UV irradiation used to treat psoriasis in the aggravation of pemphigus [4]. The temporal relation between these two disorders is variable, in most cases, psoriasis preceded pemphigus by 10 years, but there are cases were psoriasis followed pemphigus development. IgA pemphigus and pustular psoriasis are in the same disease spectrum [3]. Although, they have similar clinical presentation, positive direct immunofluorescence helps to distinguish IgA pemphigus from pustular psoriasis. Our patient had two types of lesions with different histopathological features, suggesting the coexistence of pustular psoriasis and IgA pemphigus, questioning the possibility of an overlap syndrome. Clinicians should be aware of this association, especially in cases of atypical presentations of both diseases. More studies are needed to explore the relationship between these two dermatoses and the precise mechanisms behind it.

Funding sources: None.

Conflict of interest: None.

  1. Masson E. Case report: Coexistence between immunoglobulin A pemphigus and psoriasis. EM-Consulte. 2023. https://www.em-consulte.com/article/334880
  2. Kato K, Hanafusa T, Igawa K, Tatsumi M, Takahashi Y, et al. A Rare Case of Annular Pustular Psoriasis Associated with Pemphigus Foliaceus. Ann Dermatol. 2014; 26(2): 260-1.
  3. Rosmaninho A, Oliveira A, Sanches M, Velho G, Amorim I, et al. IgA pemphigus and pustular psoriasis: A possible relation. Eur J Dermatol. 2011; 21(1): 100-1.
  4. Kridin K, Kridin M, Shalom G, Cohen AD. The coexistence of pemphigus and psoriasis: a systematic review and meta-analysis. Immunol Res. 2019; 67(1): 134-41.
  5. Chan LS, Vanderlugt CJ, Hashimoto T, Nishikawa T, Zone JJ, et al. Epitope spreading: lessons from autoimmune skin diseases. J Invest Dermatol. 1998; 110(2): 103-9.
  6. Giomi B, Cardinali C, Pestelli E, Caproni M, Fabbri P. Pemphigus foliaceus developing on pre-existing psoriasis: A supposed pathogenetic linkage. Acta Derm Venereol. 2004; 84(1): 82-3.
+