Open Access, Volume 10

Geminated primary maxillary incisor with two root canals: A case report

Nadipalli Sri Gowri1; Kanumuri Pratej Kiran2; Battula Sandeep3; Vaska Sanjeev Kamal Ramjee4

1Department of Prosthodontics and Implantology, Sri Gowri Dental Care, Hyderabad, India.

2Department of Pedodontics and Preventive dentistry, Malla Reddy Institute of Dental Sciences, Hyderabad, India.

3Department of Orthodontics, SVS Institute of Dental Sciences, Mahbubnagar, India.

4Department of Prosthodontics and Implantology, Sree Sai Dental College and Research Institute, Srikakulam, India.

Nadipalli Sri Gowri

Department of Prosthodontics and Implantology, Sri Gowri Dental Care, Hyderabad, India.
Email: mokammel.17asvm014@bsmrstu.edu.bd

Received : Apr 01, 2024, Accepted : May 02, 2024
Published : May 10, 2024, Archived : www.jclinmedcasereports.com

Gemination is a rare dental anomaly of single tooth bud dividing into two crowns and two root canals, that may also be named as ‘double teeth’. This is as a result of their peculiar, twin-like presentation. Teeth with these anomalies could show up clinically as bulbous shaped with peculiar architecture and fissure patterns. While there is uncertainty regarding the precise cause of these aberrations, numerous possible local or systemic disruptions during the morpho-differentiation stage of odontogenesis have been taken into consideration. This report presents a case of a geminated maxillary primary right central incisor and explains the significance of early detection and identification of these teeth in order to give appropriate treatment and preventative care.

Keywords: Gemination; Pulpectomy; Double teeth.

Copy right Statement: Content published in the journal follows Creative Commons Attribution License (http://creativecommons.org/licenses/by/4.0). © Gowri NS (2024)

Journal: Open Journal of Clinical and Medical Case Reports is an international, open access, peer reviewed Journal mainly focused exclusively on the medical and clinical case reports.

Citation: Gowri NS, Kiran KP, Sandeep B, Ramjee VSK. Geminated primary maxillary incisor with two root canals: A case report. Open J Clin Med Case Rep. 2024; 2236.

Gemination is a malformation of a single tooth bud, resulting in an anomalous tooth. This anomaly is related usually to one tooth or few teeth which are within the normal complement of teeth [1]. The incidence is rare in deciduous dentition and is limited at 0.1 to 3.7%, and it is very rare in permanent dentition [2]. When gemination occurs, there is a high risk of hypodontia in the permanent dentition [3]. This anomaly leads to higher caries potential, malocclusion, changes in the dental arch shape, periodontal disease, hyper/hypodontia, and eruptive disturbance of successional tooth and creates poor esthetics [1]. Diagnosis starts by the identification of a large tooth with a grooved appearance. Counting the teeth in the arch helps in noticing hyper or hypodontia. Radiographic evaluation confirms the diagnosis.

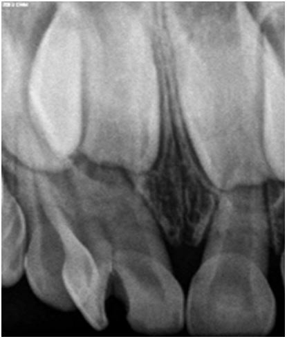
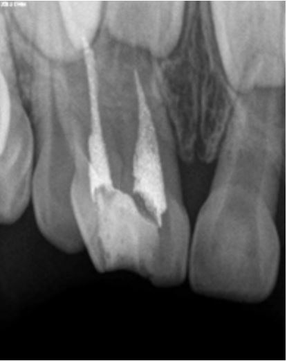
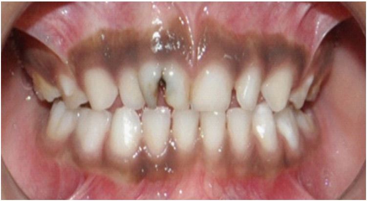
A 5-year-old male patient reported to our clinic with the chief complaint of decayed upper front teeth region. Patient presented with an episode of spontaneous pain which was relieved on medication. Medical history was non-contributory. Clinical examination revealed a geminated deciduous maxillary right central incisor (51, ISO system) having a large crown, showing a groove between non separated crowns on labial surface (Figure 1). It was noted to be non-vital on examination with electric pulp tester (Pulp tester C-pulse, Foshan CICADA Technology, China, input DC 9 V, output 80 V, 90 mA). Radiographic examination revealed two independent pulp chambers and two fused roots but with individual canals within (Figure 2). History, clinical and radiological findings pointed at the diagnosis of chronic irreversible pulpitis and pulpectomy was planned. Local anaesthesia (2% Lidocaine) was administered and rubber dam application was done. Access was achieved from the palatal surface and two canals were located; one, mesial and the other distal. Pulp extirpation and debridement was done by ProTaper Gold rotary files (Dentsply Maillefer, Ballaigues, Switzerland) upto F1. Irrigation of root canal was done with 2.5% sodium hypochlorite and saline. Obturation was done with Metapex (Meta Biomed Co. Ltd, Cheongju, Korea) (Figure 3). Access cavity was restored with glass ionomer cement till the cervical third and final restoration completed with composite.

Figure 1: Groove on the labial aspect of tooth.

Figure 2: Radiograph showing two evident roots and two separate pulp chambers.

Figure 3: Radiograph after pulpectomy.

1. Presence of a large tooth with a groove is a cause of concern and should alert the clinician for a thorough investigation.

2. Canals are usually located in the mesial and distal aspects.

3. Presence of fissures or grooves on geminated teeth predisposes it to caries which could further lead to periapical infection.

4. Early detection and application of sealants prevents progression of caries lesion.

Acknowledgments: Nil.

  1. Chipashvili N, Vadachkoria D, Beshkenadze E. Gemination or fusion? - challenge for dental practitioners (case study). Georgian Med News. 2011; 194: 28-33.
  2. Barbério GS, da Costa SV, Rios D, de Oliveira TM, Machado MAAM. Rare case of bilateral gemination in deciduous teeth. Int. J. Morphol. 2013; 31(2): 575-577.
  3. Marinelli A,Giuntini V, Franchi L, Tollaro I, Baccetti T & Defraia E. Dental anomalies in the primary dentition and their repetition in the permanent dentition: a diagnostic performance study. Odontology. 2012; 100(1): 22-7.
+