Open Access, Volume 10

Silicone stent migration: The importance of a multidisciplinary approach in the new era of lung cancer treatments

Diana Amorim*; João Neiva Machado; Rita Santos Martins; Sónia Silva

Pulmonology Department, Local Health Unit of Leiria Region, Leiria, Portugal.

Author: Diana Amorim

Pulmonology Department, Local Health Unit of Leiria Region, Leiria, Portugal.
Email: dianasofiaamorim@gmail.com

Received : November 23, 2024, Accepted : December 23, 2024
Published : December 30, 2024, Archived : www.jclinmedcasereports.com

Central airway obstruction affects a significant proportion of lung cancer patients, often requiring airway stenting for symptom palliation and improved quality of life. Silicone endobronchial stents are effective in malignant obstructions due to their tumor-anchoring properties; however, tumor shrinkage with systemic therapies may result in stent migration. We present a case of a 57-year-old man with stage IIIC squamous cell carcinoma treated with pembrolizumab after initial chemotherapy. A silicone stent was placed to manage right main bronchus obstruction, which remained stable during partial oncological response. Nine months later, stent migration to the left main bronchus was identified and successfully removed. The patient continued pembrolizumab with ongoing clinical benefit. This case highlights the need for close interdisciplinary collaboration between pulmonology and oncology teams for stent management.

Regular monitoring is crucial to address complications, particularly in the context of effective systemic therapies inducing significant tumor reduction.

Keywords: Lung cancer; Airway stenting; Tumor response; Stent migration.

Copy right Statement: Content published in the journal follows Creative Commons Attribution License (http://creativecommons.org/licenses/by/4.0). © Amorim D (2024)

Journal: Open Journal of Clinical and Medical Case Reports is an international, open access, peer reviewed Journal mainly focused exclusively on the medical and clinical case reports.

Citation: Amorim D, Neiva Machado J, Santos Martins R, Silva S. Silicone stent migration: The importance of a multidisciplinary approach in the new era of lung cancer treatments. Open J Clin Med Case Rep. 2024; 2312.

Central airway obstruction develops in a significant proportion of lung cancer patients, with airway stenting being a therapeutic option to provide significant palliation of symptoms and quality of life [1].

Almost 20% to 30% of lung cancer patients may develop central airway obstruction and related complications such as dyspnea, atelectasis, hypoxemia, hemoptysis, post-obstructive pneumonia or respiratory distress [2]. Airway stenting may provide rapid and significant improvement in symptoms and patient condition to go on to needed systemic therapy (chemotherapy, immunotherapy). Stent-related complications are not uncommon but the risk of migration of silicone endobronchial stents is relatively small in malignant obstruction due to anchorage in the tumor tissue [3]. However, with a favorable response to treatment, which is increasingly personalized to the patient, the lung mass may reduce enough to cause stent migration.

The authors show a case of a 57-year-old man, former smoker (60 year-pack), with a recent diagnosis of a lung squamous cell carcinoma, PD-L1:100%, stage IIIC (T3N0M0). The initial CT scan showed bilateral mediastino-hilar adenopathies, a reduction in caliber of the right main bronchus, with a lung mass that causes a total atelectasis of superior right lobe and partial atelectasis of the middle lobe, with preserved lower lobar bronchus. Flexible bronchoscopy showed a total obstruction of the right upper lobe and significant reduction in the caliber of the intermediate trunk, but with visualization of distal lumens.

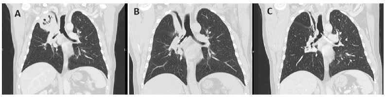
A rigid bronchoscopy was then performed and a silicone stent was placed at the level of the right main bronchus and intermediate bronchus (Figure 1A). The patient started chemotherapy, with the intention to go on to concomitant chemo-radiotherapy, but at the end of the second cycle there was no reduction in lung mass or adenopathy and the disease was considered not eligible for concomitant radiotherapy due to cardiac proximity and patient started pembrolizumab.

The patient had a great clinical and imaging improvement (with partial response) after 6 months of pembrolizumab (Figure 1B). A bronchoscopy was performed to review the need of maintaining endobronchial stent, but as it was still fixed, not displaced and permeable, it was decided to not remove. Five months later, clinically, the patient had more cough, with no other symptoms. He performed the usual follow-up CT scan that continued to show a great oncology response (partial), but the right main bronchus stent was migrated to the left main bronchus (Figure 1C). The stent was then removed from the left main bronchus and patient maintained pembrolizumab.

Figure 1: Thoracic CT Scan showing a upper lobe mass causing total atelectasis of the right upper lobe and a silicone stent in the right main bronchus (A); partial response to pembrolizumab with a decrease in the size of the mass in the right upper lobe-stent is still in the right main bronchus (B); maintenance of the partial response to pembrolizumab, with an even more marked reduction in atelectasis in the right upper lobe, now with migration of the stent to the left main bronchus (C).

In the era of new and better therapeutic options for lung cancer patients, the use of silicone endobronchial stents that can be removed when they are no longer needed, due to tumoral mass response, is essential. Endobronchial stent placement and management requires an experienced interventional team that should work in close collaboration with oncological pulmonology group. Close clinical and imaging monitoring to promptly diagnose migration of endobronchial stent, especially in patients with response to systemic therapy with significant reduction in tumoral mass, is very important to avoid complications.

  1. Kim BG, Shin B, Chang B, et al. Prognostic factors for survival after bronchoscopic intervention in patients with airway obstruction due to primary pulmonary malignancy. BMC Pulm Med. 2020; 20: 54.
  2. Catherine Oberg C, Folch E, Santacruz JF. Management of malignant airway obstruction. AMJ. 2018; 3.
  3. Mitchell PD, Kennedy MP. Bronchoscopic Management of Malignant Airway Obstruction. Adv Ther. 2014; 31: 512-538.
+