Open Access, Volume 10

Lung herniation: A rare cause of chest pain

Diana Amorim*; Sónia Silva

Pulmonology Department, Local Health Unit of Leiria Region, Leiria, Portugal.

Diana Amorim

Pulmonology Department, Local Health Unit of Leiria Region, Leiria, Portugal.
Email: dianasofiaamorim@gmail.com

Received : November 23, 2024, Accepted : December 23, 2024
Published : December 30, 2024, Archived : www.jclinmedcasereports.com

Copy right Statement: Content published in the journal follows Creative Commons Attribution License (http://creativecommons.org/licenses/by/4.0). © Amorim D (2024)

Journal: Open Journal of Clinical and Medical Case Reports is an international, open access, peer reviewed Journal mainly focused exclusively on the medical and clinical case reports.

Citation: Amorim D, Silva S. Lung herniation: A rare cause of chest pain. Open J Clin Med Case Rep. 2024; 2313.
Description

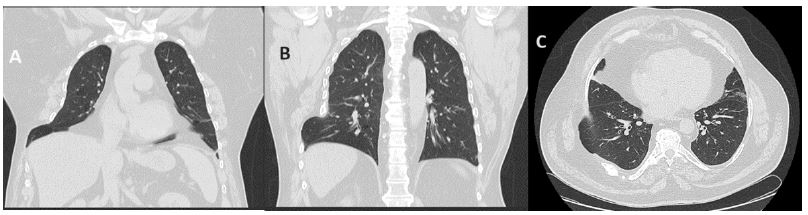
Lung hernias result from the protrusion of part of the lung parenchyma through the rib cage. They can occur after trauma or as a post-surgical iatrogenic, but spontaneous occurrences is very rare [1]. The authors present a case of a 57-year-old man, former smoker, overweight, with obstructive sleep apnea. He went to hospital with one-week history of dry cough, with no other associated symptoms, no alterations on physical examination or significant analytical changes. A viral infection was assumed. He came back five days later with chest pain and swelling in the right latero-basal region, worsened by coughing. Objective examination revealed a hematoma at that location. A chest CT scan showed 7th costal arch’s fracture and a right lung herniation in this area (Figure 1).

Given the absence of trauma or prior surgery, this herniation was assumed to be caused by coughing. The patient was followed up in pulmonology consultation, continuing to experience chest pain and chest wall hematoma, with difficulty in daily activities, and for thar reason was subsequently referred for thoracic surgery. Although surgical treatment is increasingly less considered, it remains an option for patients with significant symptoms, with excellent results and low morbidity [2].

Figure 1: Coronal (A and B) and axial (C) chest CT scan, showing fracture of the 7th costal arch and an exuberant right lung herniation in that region.
References
  1. Leivaditis V, Grapatsas K, Papatriantafyllou A, Koletsis EN, Charokopos N, et al. Surgical Repair of Spontaneous Lung Herniation Induced by Vigorous Coughing: A Case Report and Literature Review. Cureus. 2023; 15(4): e37325. doi: 0.7759/cureus.37325.
  2. Ugolini S, Abdelghafar M, Vokkri E, Sharkey AJ, Fontaine E, et al. Case Report: Spontaneous lung intercostal hernia series and literature review. Front Surg. 2023; 9: 1091727. doi: 10.3389/fsurg.2022.1091727.
+